Shopping Cart
Remove All
Your shopping cart is currently empty
Anti-ACTA2 Antibody (1T673) is a Rabbit antibody targeting ACTA2. Anti-ACTA2 Antibody (1T673) can be used in FCM, ICC/IF, IF, IHC-Fr, IHC-P, WB.
| Pack Size | Price | USA Stock | Global Stock | Quantity |
|---|---|---|---|---|
| 25 μL | $154 | 7-10 days | 7-10 days | |
| 50 μL | $273 | 7-10 days | 7-10 days | |
| 100 μL | $487 | 7-10 days | 7-10 days |
| Description | Anti-ACTA2 Antibody (1T673) is a Rabbit antibody targeting ACTA2. Anti-ACTA2 Antibody (1T673) can be used in FCM, ICC/IF, IF, IHC-Fr, IHC-P, WB. |
| Synonyms | Cell growth-inhibiting gene 46 protein, aortic smooth muscle, Alpha-actin-2, ACTVS, ACTSA, Actin, aortic smooth muscle, ACTA2 |
| Ig Type | IgG |
| Clone | 1T673 |
| Reactivity | Human,Mouse,Rat (predicted:Zebrafish) |
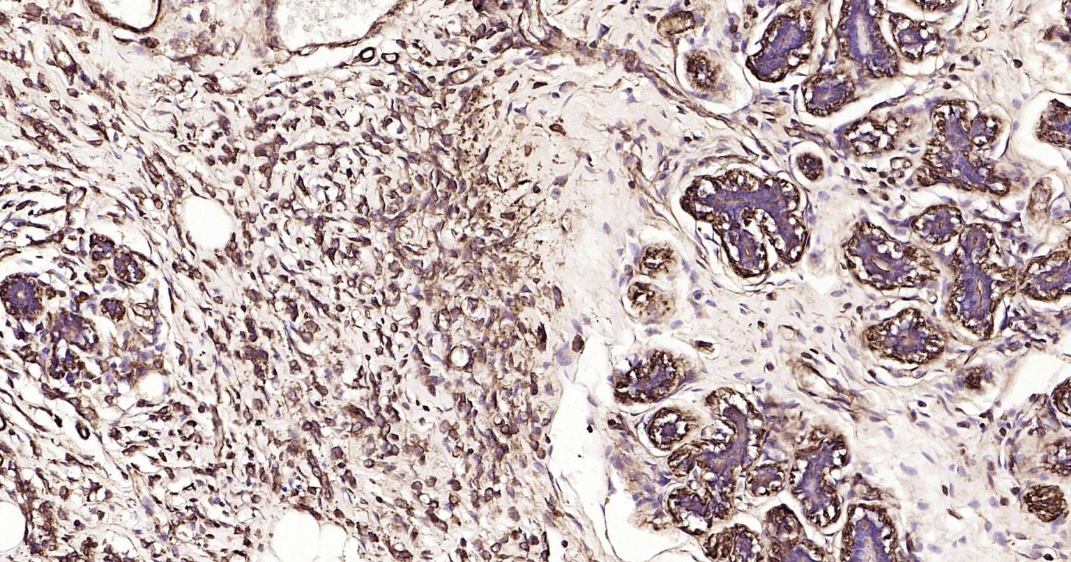
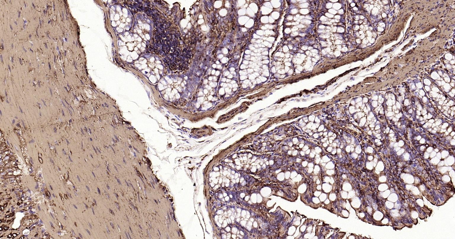
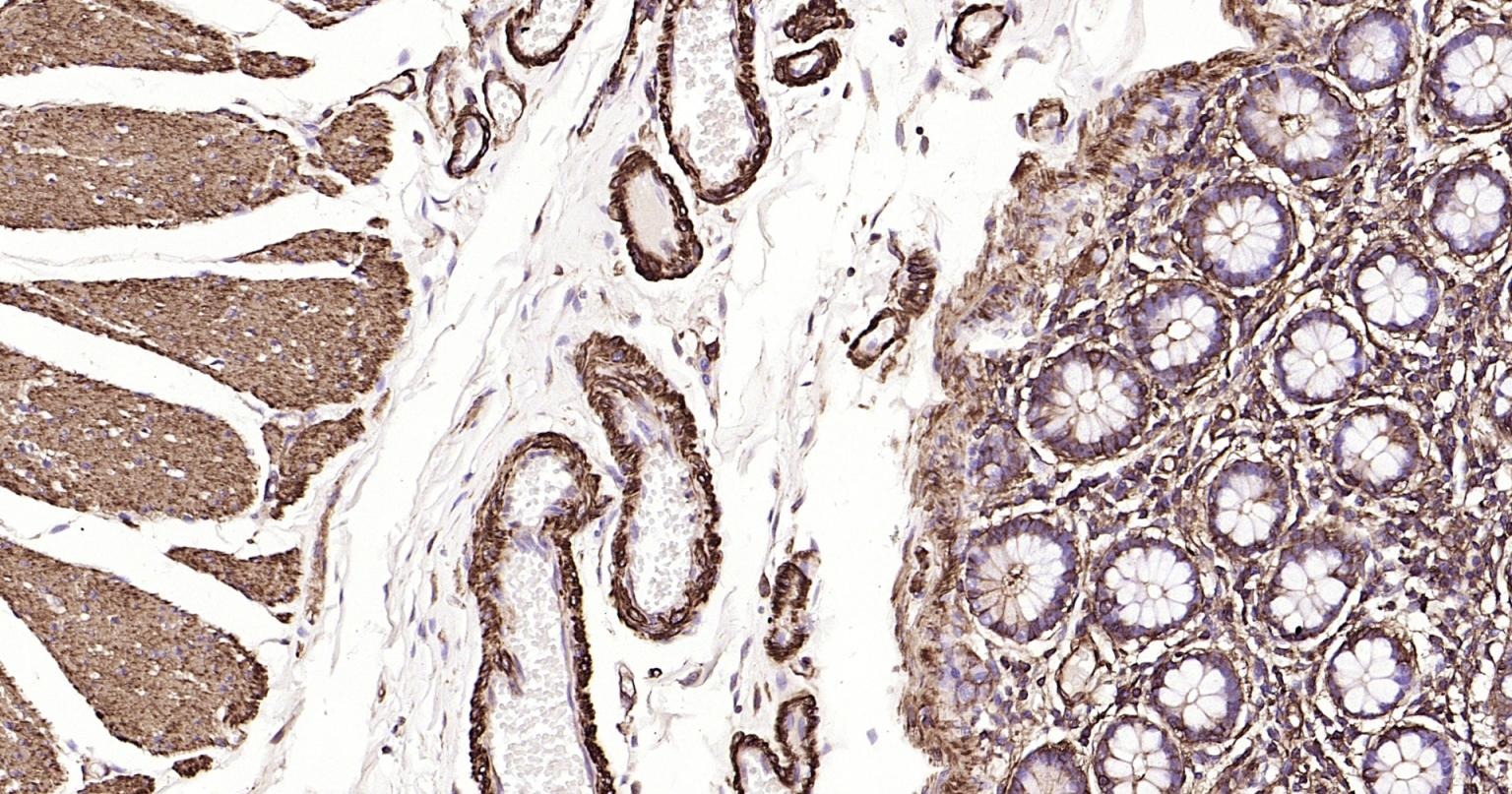
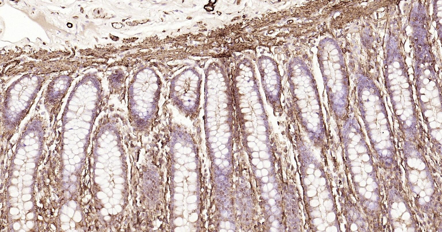
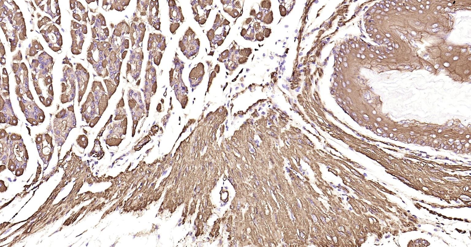
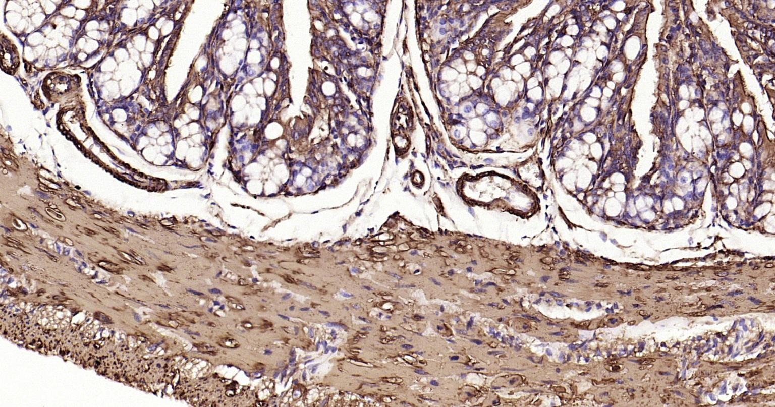
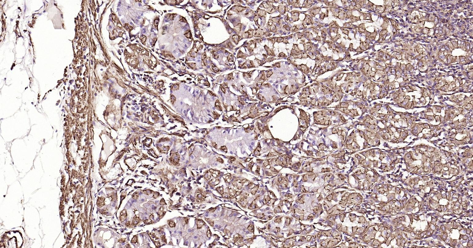
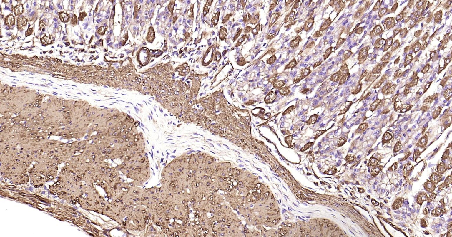
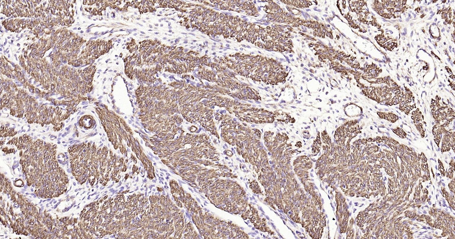
| Verified Activity | 1. 25 μg total protein per Lane of various lysates probed with alpha smooth muscle Actin monoclonal antibody, unconjugated (TMAB-00050) at 1:2000 dilution and 4°C overnight incubation. Followed by conjugated secondary antibody incubation at RT for 60 min. 2. Paraformaldehyde-fixed, paraffin embedded Mouse Colon; Antigen retrieval by boiling in sodium citrate buffer (pH6.0) for 15 min; Antibody incubation with alpha smooth muscle Actin Monoclonal Antibody, Unconjugated (TMAB-00050) at 1:200 overnight at 4°C, followed by conjugation to the secondary antibody and DAB staining. 3. Paraformaldehyde-fixed, paraffin embedded Rat Colon; Antigen retrieval by boiling in sodium citrate buffer (pH6.0) for 15 min; Antibody incubation with alpha smooth muscle Actin Monoclonal Antibody, Unconjugated (TMAB-00050) at 1:200 overnight at 4°C, followed by conjugation to the secondary antibody and DAB staining. 4. Paraformaldehyde-fixed, paraffin embedded Human Colon; Antigen retrieval by boiling in sodium citrate buffer (pH6.0) for 15 min; Antibody incubation with alpha smooth muscle Actin Monoclonal Antibody, Unconjugated (TMAB-00050) at 1:200 overnight at 4°C, followed by conjugation to the secondary antibody and DAB staining. 5. Paraformaldehyde-fixed, paraffin embedded Mouse Stomach; Antigen retrieval by boiling in sodium citrate buffer (pH6.0) for 15 min; Antibody incubation with alpha smooth muscle Actin Monoclonal Antibody, Unconjugated (TMAB-00050) at 1:200 overnight at 4°C, followed by conjugation to the secondary antibody and DAB staining. 6. Paraformaldehyde-fixed, paraffin embedded Rat Stomach; Antigen retrieval by boiling in sodium citrate buffer (pH6.0) for 15 min; Antibody incubation with alpha smooth muscle Actin Monoclonal Antibody, Unconjugated (TMAB-00050) at 1:200 overnight at 4°C, followed by conjugation to the secondary antibody and DAB staining. 7. Paraformaldehyde-fixed, paraffin embedded Human Stomach; Antigen retrieval by boiling in sodium citrate buffer (pH6.0) for 15 min; Antibody incubation with alpha smooth muscle Actin Monoclonal Antibody, Unconjugated (TMAB-00050) at 1:200 overnight at 4°C, followed by conjugation to the secondary antibody and DAB staining. 8. Paraformaldehyde-fixed, paraffin embedded Human Small Intestine; Antigen retrieval by boiling in sodium citrate buffer (pH6.0) for 15 min; Antibody incubation with alpha smooth muscle Actin Monoclonal Antibody, Unconjugated (TMAB-00050) at 1:200 overnight at 4°C, followed by conjugation to the secondary antibody and DAB staining. 9. Paraformaldehyde-fixed, paraffin embedded Human Uterus; Antigen retrieval by boiling in sodium citrate buffer (pH6.0) for 15 min; Antibody incubation with alpha smooth muscle Actin Monoclonal Antibody, Unconjugated (TMAB-00050) at 1:200 overnight at 4°C, followed by conjugation to the secondary antibody and DAB staining. 10. Paraformaldehyde-fixed, paraffin embedded Human Breast Cancer; Antigen retrieval by boiling in sodium citrate buffer (pH6.0) for 15 min; Antibody incubation with alpha smooth muscle Actin Monoclonal Antibody, Unconjugated (TMAB-00050) at 1:200 overnight at 4°C, followed by conjugation to the secondary antibody and DAB staining. 11. 25 μg total protein per Lane of various lysates probed with alpha smooth muscle Actin monoclonal antibody, unconjugated (TMAB-00050) at 1:2000 dilution and 4°C overnight incubation. Followed by conjugated secondary antibody incubation at RT for 60 min. 12. Paraformaldehyde-fixed, paraffin embedded Rat stomach; Antigen retrieval by boiling in sodium citrate buffer (pH6.0) for 15 min; Antibody incubation with alpha smooth muscle Actin Monoclonal Antibody, Unconjugated (TMAB-00050) at 1:200 overnight at 4°C. Followed by conjugated Goat Anti-Rabbit IgG antibody (green), DAPI (blue) was used to stain the cell nucleus. 13. Paraformaldehyde-fixed, paraffin embedded Mouse stomach; Antigen retrieval by boiling in sodium citrate buffer (pH6.0) for 15 min; Antibody incubation with alpha smooth muscle Actin Monoclonal Antibody, Unconjugated (TMAB-00050) at 1:200 overnight at 4°C. Followed by conjugated Goat Anti-Rabbit IgG antibody (green), DAPI (blue) was used to stain the cell nucleus. 14. Paraformaldehyde-fixed, paraffin embedded Human small intestine; Antigen retrieval by boiling in sodium citrate buffer (pH6.0) for 15 min; Antibody incubation with alpha smooth muscle Actin Monoclonal Antibody, Unconjugated (TMAB-00050) at 1:200 overnight at 4°C. Followed by conjugated Goat Anti-Rabbit IgG antibody (green), DAPI (blue) was used to stain the cell nucleus. ![]() ![]() ![]() ![]() ![]() ![]() ![]() ![]() ![]() ![]() ![]() ![]() ![]() ![]() |
| Application | |
| Recommended Dose | FCM=1 μg/Test; ICC/IF=1:100-500; IF=1:100-500; IHC-Fr=1:100-500; IHC-P=1:100-500; WB=1:1000-5000 |
| Antibody Type | Monoclonal |
| Host Species | Rabbit |
| Subcellular Localization | Cytoplasm, cytoskeleton. |
| Construction | Recombinant Antibody |
| Purification | Protein A purified |
| Appearance | Liquid |
| Formulation | 0.01M TBS (pH7.4) with 1% BSA, 0.02% Proclin300 and 50% Glycerol. |
| Concentration | 1 mg/mL |
| Research Background | All eukaryotic cells express Actin, which often constitutes as much as 50% of total cellular protein. Actin filaments can form both stable and labile structures and are crucial components of microvilli and the contractile apparatus of muscle cells. While lower eukaryotes, such as yeast, have only one Actin gene, higher eukaryotes have several isoforms encoded by a family of genes. At least six types of Actin are present in mammalian tissues and fall into three classes. alpha-Actin expression is limited to various types of muscle, whereas beta- and gamma-Actin are the principle constituents of filaments in other tissues. Members of the small GTPase family regulate the organization of the Actin cytoskeleton. Rho controls the assembly of Actin stress fibers and focal adhesion. Rac regulates Actin filament accumulation at the plasma membrane. Cdc42 stimulates formation of filopodia. |
| Immunogen | KLH conjugated synthetic peptide: human Actin alpha |
| Antigen Species | Human |
| Gene Name | ACTA2 |
| Gene ID | |
| Protein Name | Actin, aortic smooth muscle |
| Uniprot ID | |
| Biology Area | Myogenesis,Mesoderm,Actin,alpha smooth muscle Actin,Mesoderm,Arterial,Cytoskeleton,Actins,Smooth Muscle Cells |
| Function | Actins are highly conserved proteins that are involved in various types of cell motility and are ubiquitously expressed in all eukaryotic cells. |
| Molecular Weight | Theoretical: 42 kDa. Actual: 42 kDa. |
| Stability & Storage | Store at -20°C or -80°C for 12 months. Avoid repeated freeze-thaw cycles. |
| Transport | Shipping with blue ice. |
| Size | Quantity | Unit Price | Amount | Operation |
|---|

Copyright © 2015-2026 TargetMol Chemicals Inc. All Rights Reserved.