Shopping Cart
Remove All
Your shopping cart is currently empty
Anti-Acetyl-P53 (Lys382) Antibody (4Z92) is a Mouse antibody targeting Acetyl-P53 (Lys382). Anti-Acetyl-P53 (Lys382) Antibody (4Z92) can be used in IHC.

| Pack Size | Price | USA Stock | Global Stock | Quantity |
|---|---|---|---|---|
| 50 μL | $218 | 7-10 days | 7-10 days | |
| 100 μL | $316 | 7-10 days | 7-10 days |
| Description | Anti-Acetyl-P53 (Lys382) Antibody (4Z92) is a Mouse antibody targeting Acetyl-P53 (Lys382). Anti-Acetyl-P53 (Lys382) Antibody (4Z92) can be used in IHC. |
| Synonyms | P53K382-acetylated, P53K382ac, Ac-P53K382, Ac-P53 (Lys382), Ac-P53 (K382), Acetyl-P53 (K382) |
| Ig Type | IgG1 |
| Clone | 4Z92 |
| Reactivity | Human,Mouse,Rat |
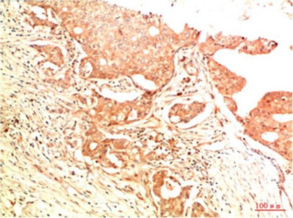
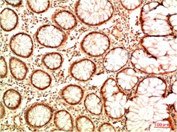
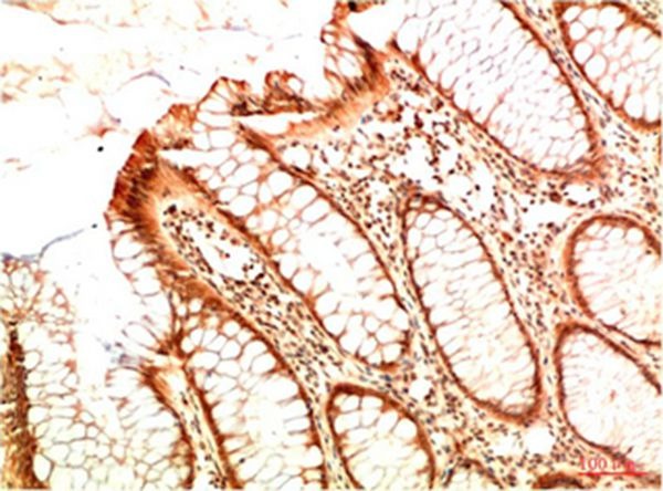
| Verified Activity | 1. Immunohistochemical analysis of paraffin-embedded Human Breast Carcinoma Tissue using Acetyl P53(K382) Mouse mAb diluted at 1:200. 2. Immunohistochemical analysis of paraffin-embedded Human Colon Carcinoma Tissue using Acetyl P53(K382) Mouse mAb diluted at 1:200. 3. Immunohistochemical analysis of paraffin-embedded Human Colon Carcinoma Tissue using Acetyl P53(K382) Mouse mAb diluted at 1:200. ![]() ![]() ![]() |
| Application | |
| Recommended Dose | IHC: 1:50-200 |
| Antibody Type | Monoclonal |
| Host Species | Mouse |
| Construction | Hybridoma Monoclonal Antibody |
| Appearance | Liquid |
| Formulation | Liquid in PBS containing 50% glycerol, 0.5% BSA and 0.02% sodium azide. |
| Conjucates | Unconjugated |
| Others Formats | Methylated/Acetylated |
| Immunogen | A synthesized acetylpeptide: P53 around the acetylation site of K382 |
| Molecular Weight | Theoretical: 53 kDa. |
| Stability & Storage | Store at -20°C or -80°C for 12 months. Avoid repeated freeze-thaw cycles. |
| Transport | Shipping with blue ice. |
| Size | Quantity | Unit Price | Amount | Operation |
|---|

Copyright © 2015-2026 TargetMol Chemicals Inc. All Rights Reserved.