Shopping Cart
Remove All
Your shopping cart is currently empty
Anti-Acetyl-p53 (Lys382) Antibody (4U203) is a Rabbit antibody targeting Acetyl-p53 (Lys382). Anti-Acetyl-p53 (Lys382) Antibody (4U203) can be used in ICC,IHC,WB.
| Pack Size | Price | USA Warehouse | Global Warehouse | Quantity |
|---|---|---|---|---|
| 50 μL | $297 | 7-10 days | 7-10 days | |
| 100 μL | $497 | 7-10 days | 7-10 days |
| Description | Anti-Acetyl-p53 (Lys382) Antibody (4U203) is a Rabbit antibody targeting Acetyl-p53 (Lys382). Anti-Acetyl-p53 (Lys382) Antibody (4U203) can be used in ICC,IHC,WB. |
| Synonyms | p53K382-acetylated, p53K382ac, Ac-p53K382, Ac-p53 (Lys382), Ac-p53 (K382), Acetyl-p53 (K382) |
| Ig Type | IgG |
| Clone | 4U203 |
| Reactivity | Human |
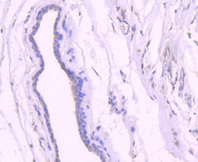
| Verified Activity | 1. Immunohistochemical analysis of paraffin-embedded human breast carcinoma tissue using anti-p53 (acetyl K382) antibody. Counter stained with hematoxylin. 2. ICC staining p53 (acetyl K382) in A549 cells (green). The nuclear counter stain is DAPI (blue). Cells were fixed in paraformaldehyde, permeabilised with 0.25% Triton X100/PBS. 3. ICC staining p53 (acetyl K382) in HepG2 cells (green). The nuclear counter stain is DAPI (blue). Cells were fixed in paraformaldehyde, permeabilised with 0.25% Triton X100/PBS. ![]() ![]() ![]() |
| Application | |
| Recommended Dose | WB: 1:500; IHC: 1:50-100; ICC: 1:50-100 |
| Antibody Type | Monoclonal |
| Host Species | Rabbit |
| Construction | Recombinant Antibody |
| Purification | ProA affinity purified |
| Appearance | Liquid |
| Formulation | 1*TBS (pH7.4), 1%BSA, 40%Glycerol. Preservative: 0.05% Sodium Azide. |
| Research Background | Antigen NY-CO-13 antibody BCC7 antibody Cellular tumor antigen p53 antibody FLJ92943 antibody LFS1 antibody Mutant tumor protein 53 antibody p53 antibody p53 tumor suppressor antibody P53_HUMAN antibody Phosphoprotein p53 antibody Tp53 antibody Transformation related protein 53 antibody TRP53 antibody Tumor protein 53 antibody Tumor protein p53 antibody Tumor suppressor p53 antibody |
| Conjucates | Unconjugated |
| Others Formats | Methylated/Acetylated |
| Immunogen | Recombinant Protein |
| Uniprot ID |
| Molecular Weight | Theoretical: 53 kDa. |
| Stability & Storage | Store at -20°C or -80°C for 12 months. Avoid repeated freeze-thaw cycles. |
| Transport | Shipping with blue ice. |
| Size | Quantity | Unit Price | Amount | Operation |
|---|

Copyright © 2015-2026 TargetMol Chemicals Inc. All Rights Reserved.