Shopping Cart
Remove All
Your shopping cart is currently empty
Anti-Acetyl-Lysine Antibody (3R56) is a Mouse antibody targeting Acetyl-Lysine. Anti-Acetyl-Lysine Antibody (3R56) can be used in IHC,WB.
| Pack Size | Price | USA Warehouse | Global Warehouse | Quantity |
|---|---|---|---|---|
| 50 μL | $218 | 7-10 days | 7-10 days | |
| 100 μL | $317 | 7-10 days | 7-10 days |
| Description | Anti-Acetyl-Lysine Antibody (3R56) is a Mouse antibody targeting Acetyl-Lysine. Anti-Acetyl-Lysine Antibody (3R56) can be used in IHC,WB. |
| Synonyms | K-acetylated, Kac, Ac-Lysine, Ac-K, Acetyl-K |
| Clone | 3R56 |
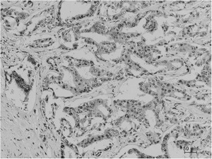
| Verified Activity | 1. Immunohistochemical analysis of paraffin-embedded Human Breast Carcinoma using Acetyl Lysine Monoclonal Antibody. 2. Western blot analysis of 1) Mouse Brain Tissue, 2) Hela, 3) Hela+TSA Treated using Acetyl Lysine Monoclonal Antibody. ![]() ![]() |
| Application | |
| Recommended Dose | WB: 1:1000-2000; IHC: 1:200-500 |
| Antibody Type | Monoclonal |
| Host Species | Mouse |
| Construction | Hybridoma Monoclonal Antibody |
| Purification | The antibody was affinity-purified from antiserum by affinity-chromatography |
| Appearance | Liquid |
| Formulation | PBS, pH 7.4, containing 0.02% sodium azide as Preservative and 50% Glycerol. |
| Conjucates | Unconjugated |
| Others Formats | Methylated/Acetylated |
| Immunogen | Purified Protein |
| Color | Transparent |
| Appearance | Liquid |
| Stability & Storage | Store at -20°C or -80°C for 12 months. Avoid repeated freeze-thaw cycles. |
| Transport | Shipping with blue ice. |
| Size | Quantity | Unit Price | Amount | Operation |
|---|

Copyright © 2015-2026 TargetMol Chemicals Inc. All Rights Reserved.