Shopping Cart
Remove All
Your shopping cart is currently empty
Anti-Acetyl-Histone H4 (Lys16) Antibody (5P883) is a Rabbit antibody targeting Acetyl-Histone H4 (Lys16). Anti-Acetyl-Histone H4 (Lys16) Antibody (5P883) can be used in FCM,ICC,IF,IHC,WB.
| Pack Size | Price | USA Warehouse | Global Warehouse | Quantity |
|---|---|---|---|---|
| 50 μL | $296 | 7-10 days | 7-10 days | |
| 100 μL | $498 | 7-10 days | 7-10 days |
| Description | Anti-Acetyl-Histone H4 (Lys16) Antibody (5P883) is a Rabbit antibody targeting Acetyl-Histone H4 (Lys16). Anti-Acetyl-Histone H4 (Lys16) Antibody (5P883) can be used in FCM,ICC,IF,IHC,WB. |
| Synonyms | Histone H4K16-acetylated, H4K16ac, Ac-Histone H4 (Lys16), Ac-Histone H4 (K16), Ac-H4K16, Acetyl-Histone H4 (K16) |
| Ig Type | IgG |
| Clone | 5P883 |
| Reactivity | Human,Mouse,Rat |
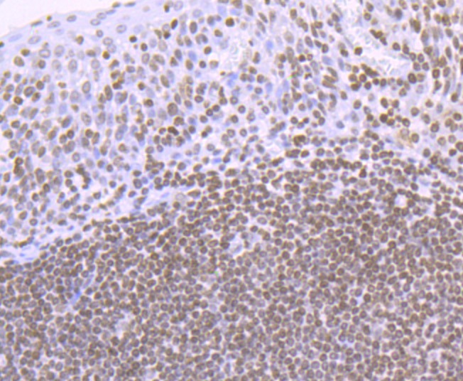
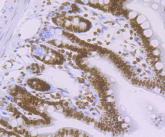
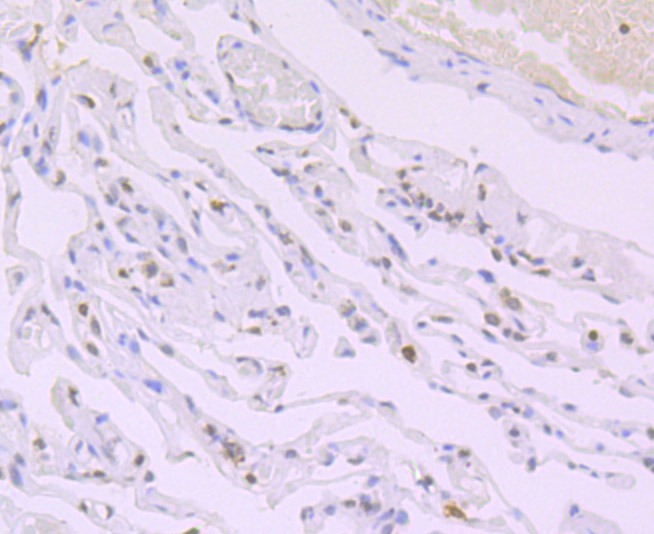
| Verified Activity | 1. Immunohistochemical analysis of paraffin-embedded rat brain tissue using anti-Histone H4 (acetyl K16) antibody. Counter stained with hematoxylin. 2. Immunohistochemical analysis of paraffin-embedded human tonsil tissue using anti-Histone H4 (acetyl K16) antibody. Counter stained with hematoxylin. 3. Immunohistochemical analysis of paraffin-embedded human lung cancer tissue using anti-Histone H4 (acetyl K16) antibody. Counter stained with hematoxylin. 4. Immunohistochemical analysis of paraffin-embedded mouse colon tissue using anti-Histone H4 (acetyl K16) antibody. Counter stained with hematoxylin. 5. ICC staining Histone H4 (acetyl K16) in Hela cells (green). The nuclear counter stain is DAPI (blue). Cells were fixed in paraformaldehyde, permeabilised with 0.25% Triton X100/PBS. 6. ICC staining Histone H4 (acetyl K16) in SH-SY-5Y cells (green). The nuclear counter stain is DAPI (blue). Cells were fixed in paraformaldehyde, permeabilised with 0.25% Triton X100/PBS. 7. Flow cytometric analysis of Hela cells with Histone H4 (acetyl K16) antibody at 1/100 dilution (red) compared with an unlabelled control (cells without incubation with primary antibody; black). Alexa Fluor 488-conjugated goat anti-rabbit IgG was used as the secondary antibody. 8. Western blot analysis of Histone H4 (acetyl K16) on SiHa cell using anti-Histone H4 (acetyl K16) antibody at 1/500 dilution. ![]() ![]() ![]() ![]() ![]() ![]() ![]() ![]() |
| Application | |
| Recommended Dose | WB: 1:500-1000; IHC: 1:50-200; ICC: 1:50-200; FCM: 1:50-100 |
| Antibody Type | Monoclonal |
| Host Species | Rabbit |
| Construction | Recombinant Antibody |
| Purification | ProA affinity purified |
| Appearance | Liquid |
| Formulation | 1*TBS (pH7.4), 1%BSA, 40%Glycerol. Preservative: 0.05% Sodium Azide. |
| Research Background | Eukaryotic histones are basic and water soluble nuclear proteins that form hetero-octameric nucleosome particles by wrapping 146 base pairs of DNA in a left-handed super-helical turn sequentially to form chromosomal fiber. Two molecules of each of the four core histones (H2A, H2B, H3, and H4) form the octamer; formed of two H2A-H2B dimers and two H3-H4 dimers, forming two nearly symmetrical halves by tertiary structure. Over 80% of nucleosomes contain the linker Histone H1, derived from an intronless gene, that interacts with linker DNA between nucleosomes and mediates compaction into higher order chromatin. Histones are subject to posttranslational modification by enzymes primarily on their N-terminal tails, but also in their globular domains. Such modifications include methylation, citrullination, acetylation, phosphorylation, sumoylation, ubiquitination and ADP-ribosylation. |
| Conjucates | Unconjugated |
| Others Formats | Methylated/Acetylated |
| Immunogen | Recombinant Protein |
| Uniprot ID |
| Molecular Weight | Theoretical: 11 kDa. |
| Stability & Storage | Store at -20°C or -80°C for 12 months. Avoid repeated freeze-thaw cycles. |
| Transport | Shipping with blue ice. |
| Size | Quantity | Unit Price | Amount | Operation |
|---|

Copyright © 2015-2026 TargetMol Chemicals Inc. All Rights Reserved.