Shopping Cart
Remove All
Your shopping cart is currently empty
Anti-Acetyl-HIST1H3A (Lys27) Polyclonal Antibody is a Rabbit antibody targeting Acetyl-HIST1H3A (Lys27). Anti-Acetyl-HIST1H3A (Lys27) Polyclonal Antibody can be used in ELISA,IF,IHC,IP,WB.
| Pack Size | Price | USA Warehouse | Global Warehouse | Quantity |
|---|---|---|---|---|
| 50 μL | $216 | 7-10 days | 7-10 days | |
| 100 μL | $316 | 7-10 days | 7-10 days |
| Description | Anti-Acetyl-HIST1H3A (Lys27) Polyclonal Antibody is a Rabbit antibody targeting Acetyl-HIST1H3A (Lys27). Anti-Acetyl-HIST1H3A (Lys27) Polyclonal Antibody can be used in ELISA,IF,IHC,IP,WB. |
| Synonyms | Histone H3K27-acetylated, H3K27ac, Ac-HIST1H3A (Lys27), Ac-HIST1H3A (K27), Ac-H3K27, Acetyl-HIST1H3A (K27) |
| Ig Type | IgG |
| Reactivity | Human,Mouse,Rat,Monkey,Arabidopsis thaliana |
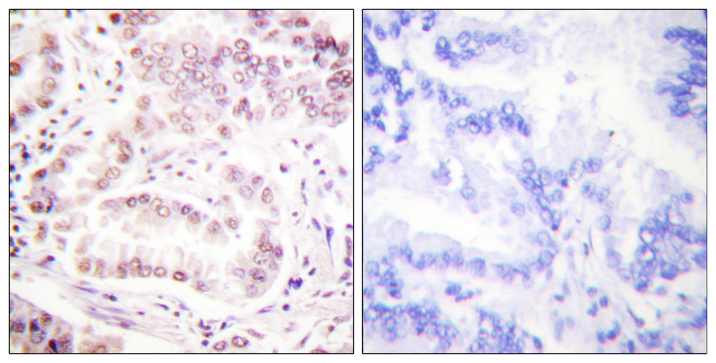
| Verified Activity | 1. Western blot analysis of extracts from Hela cells, untreated (-) or treated with TSA (1μM, 18 hr; +), using TMAC-01927 diluted at 1:1,000. 2. Immunohistochemistry analysis of paraffin-embedded human lung carcinoma tissue, using Histone H3 (Acetyl-Lys27) Antibody. The picture on the right is blocked with the synthesized peptide. 3. Immunofluorescence analysis of Hela cell. Histone H3 (Acetyl Lys27) Polyclonal Antibody (red) was diluted at 1:200 (4°C overnight). ![]() ![]() ![]() |
| Application | |
| Recommended Dose | WB: 1:500-2000; IHC: 1:100-300; IF: 1:200-1000; IP: 1:200; ELISA: 1:5000 |
| Antibody Type | Polyclonal |
| Host Species | Rabbit |
| Construction | Polyclonal Antibody |
| Purification | Affinity purification using immunogen. |
| Appearance | Liquid |
| Formulation | PBS, pH 7.4, containing 0.02% sodium azide as Preservative and 50% Glycerol. |
| Research Background | Histone H3 is one of the five main histone proteins involved in the structure of chromatin in eukaryotic cells. Core component of nucleosome. Nucleosomes wrap and compact DNA into chromatin, limiting DNA accessibility to the cellular machineries which require DNA as a template. Histones thereby play a central role in transcription regulation, DNA repair, DNA replication and chromosomal stability. |
| Conjucates | Unconjugated |
| Others Formats | Methylated/Acetylated |
| Immunogen | A synthesized acetylpeptide: human Histone H3 around the acetylation site of Lys27 |
| Antigen Species | human |
| Uniprot ID |
| Molecular Weight | Actual: 17 kDa. |
| Stability & Storage | Store at -20°C or -80°C for 12 months. Avoid repeated freeze-thaw cycles. |
| Transport | Shipping with blue ice. |
| Size | Quantity | Unit Price | Amount | Operation |
|---|

Copyright © 2015-2026 TargetMol Chemicals Inc. All Rights Reserved.