Shopping Cart
Remove All
Your shopping cart is currently empty
Anti-Acetyl-HIST1H3A (Lys56) Antibody (4S839) is a Rabbit antibody targeting Acetyl-HIST1H3A (Lys56). Anti-Acetyl-HIST1H3A (Lys56) Antibody (4S839) can be used in ICC/IF,IHC,WB.
| Pack Size | Price | USA Warehouse | Global Warehouse | Quantity |
|---|---|---|---|---|
| 50 μL | $296 | 7-10 days | 7-10 days | |
| 100 μL | $498 | 7-10 days | 7-10 days |
| Description | Anti-Acetyl-HIST1H3A (Lys56) Antibody (4S839) is a Rabbit antibody targeting Acetyl-HIST1H3A (Lys56). Anti-Acetyl-HIST1H3A (Lys56) Antibody (4S839) can be used in ICC/IF,IHC,WB. |
| Synonyms | Histone H3K56-acetylated, H3K56ac, Ac-HIST1H3A (Lys56), Ac-HIST1H3A (K56), Ac-H3K56, Acetyl-HIST1H3A (K56) |
| Ig Type | IgG |
| Clone | 4S839 |
| Reactivity | Human,Mouse,Rat |
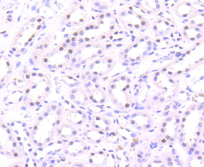
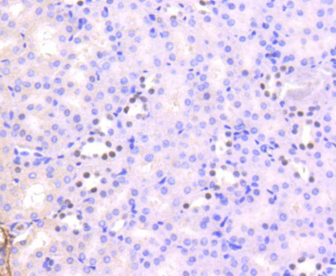
| Verified Activity | 1. Immunohistochemical analysis of paraffin-embedded human kidney tissue using anti-Histone H3 (acetyl K56) antibody. Counter stained with hematoxylin. 2. Immunohistochemical analysis of paraffin-embedded mouse kidney tissue using anti-Histone H3 (acetyl K56) antibody. Counter stained with hematoxylin. 3. ICC staining Histone H3 (acetyl K56) in Hela cells (green). The nuclear counter stain is DAPI (blue). Cells were fixed in paraformaldehyde, permeabilised with 0.25% Triton X100/PBS. 4. ICC staining Histone H3 (acetyl K56) in HepG2 cells (green). The nuclear counter stain is DAPI (blue). Cells were fixed in paraformaldehyde, permeabilised with 0.25% Triton X100/PBS. 5. ICC staining Histone H3 (acetyl K56) in A549 cells (green). The nuclear counter stain is DAPI (blue). Cells were fixed in paraformaldehyde, permeabilised with 0.25% Triton X100/PBS. ![]() ![]() ![]() ![]() ![]() |
| Application | |
| Recommended Dose | WB: 1:1000; IHC: 1:50-200; ICC/IF: 1:50-200 |
| Antibody Type | Monoclonal |
| Host Species | Rabbit |
| Construction | Recombinant Antibody |
| Purification | ProA affinity purified |
| Appearance | Liquid |
| Formulation | 1*TBS (pH7.4), 1%BSA, 40%Glycerol. Preservative: 0.05% Sodium Azide. |
| Research Background | Eukaryotic histones are basic and water soluble nuclear proteins that form hetero-octameric nucleosome particles by wrapping 146 base pairs of DNA in a left-handed super-helical turn sequentially to form chromosomal fiber. Two molecules of each of the four core histones (H2A, H2B, H3, and H4) form the octamer; formed of two H2A-H2B dimers and two H3-H4 dimers, forming two nearly symmetrical halves by tertiary structure. Over 80% of nucleosomes contain the linker Histone H1, derived from an intronless gene, that interacts with linker DNA between nucleosomes and mediates compaction into higher order chromatin. Histones are subject to posttranslational modification by enzymes primarily on their N-terminal tails, but also in their globular domains. Such modifications include methylation, citrullination, acetylation, phosphorylation, sumoylation, ubiquitination and ADP-ribosylation. |
| Conjucates | Unconjugated |
| Others Formats | Methylated/Acetylated |
| Immunogen | Recombinant Protein |
| Uniprot ID |
| Molecular Weight | Theoretical: 15 kDa. |
| Stability & Storage | Store at -20°C or -80°C for 12 months. Avoid repeated freeze-thaw cycles. |
| Transport | Shipping with blue ice. |
| Size | Quantity | Unit Price | Amount | Operation |
|---|

Copyright © 2015-2026 TargetMol Chemicals Inc. All Rights Reserved.