Shopping Cart
Remove All
Your shopping cart is currently empty
Anti-Acetyl-α-tubulin (Lys40) Antibody (7S611) is a Mouse antibody targeting Acetyl-α-tubulin (Lys40). Anti-Acetyl-α-tubulin (Lys40) Antibody (7S611) can be used in IHC,WB.

| Pack Size | Price | USA Stock | Global Stock | Quantity |
|---|---|---|---|---|
| 50 μL | $217 | 7-10 days | 7-10 days | |
| 100 μL | $318 | 7-10 days | 7-10 days |
| Description | Anti-Acetyl-α-tubulin (Lys40) Antibody (7S611) is a Mouse antibody targeting Acetyl-α-tubulin (Lys40). Anti-Acetyl-α-tubulin (Lys40) Antibody (7S611) can be used in IHC,WB. |
| Synonyms | α-tubulinK40-acetylated, α-tubulinK40ac, Ac-α-tubulinK40, Ac-α-tubulin (Lys40), Ac-α-tubulin (K40), Acetyl-α-tubulin (K40) |
| Ig Type | IgG1 |
| Clone | 7S611 |
| Reactivity | Human,Mouse,Rat |
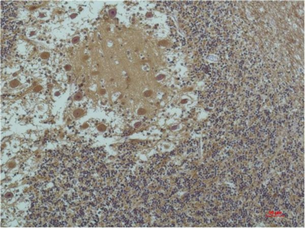
| Verified Activity | 1. Western blot analysis of extracts from Hela cells, untreated (-) or treated with TSA (1μM, 18 hr; +), using Acetyl- a-tubulin(Lys40) Mouse mAb 1:2000. 2. Immunohistochemical analysis of paraffin-embedded Human Brain Tissue using a-tubulin(Acetyl Lys40) Mouse mAb diluted at 1:200. ![]() ![]() |
| Application | |
| Recommended Dose | WB: 1:1000-2000; IHC: 1:100-200 |
| Antibody Type | Monoclonal |
| Host Species | Mouse |
| Construction | Hybridoma Monoclonal Antibody |
| Appearance | Liquid |
| Formulation | Liquid in PBS containing 50% glycerol, 0.5% BSA and 0.02% sodium azide. |
| Conjucates | Unconjugated |
| Others Formats | Methylated/Acetylated |
| Immunogen | A synthesized peptide |
| Molecular Weight | Theoretical: 52 kDa. |
| Stability & Storage | Store at -20°C or -80°C for 12 months. Avoid repeated freeze-thaw cycles. |
| Transport | Shipping with blue ice. |
| Size | Quantity | Unit Price | Amount | Operation |
|---|

Copyright © 2015-2026 TargetMol Chemicals Inc. All Rights Reserved.