Shopping Cart
Remove All
Your shopping cart is currently empty
Anti-ACE2 Polyclonal Antibody is a Rabbit antibody targeting ACE2. Anti-ACE2 Polyclonal Antibody can be used in IF,IHC-Fr,IHC-P,WB.
| Pack Size | Price | USA Stock | Global Stock | Quantity |
|---|---|---|---|---|
| 50 μL | $220 | 7-10 days | 7-10 days | |
| 100 μL | $373 | 7-10 days | 7-10 days | |
| 200 μL | $529 | 7-10 days | 7-10 days |
| Description | Anti-ACE2 Polyclonal Antibody is a Rabbit antibody targeting ACE2. Anti-ACE2 Polyclonal Antibody can be used in IF,IHC-Fr,IHC-P,WB. |
| Ig Type | IgG |
| Reactivity | Human |
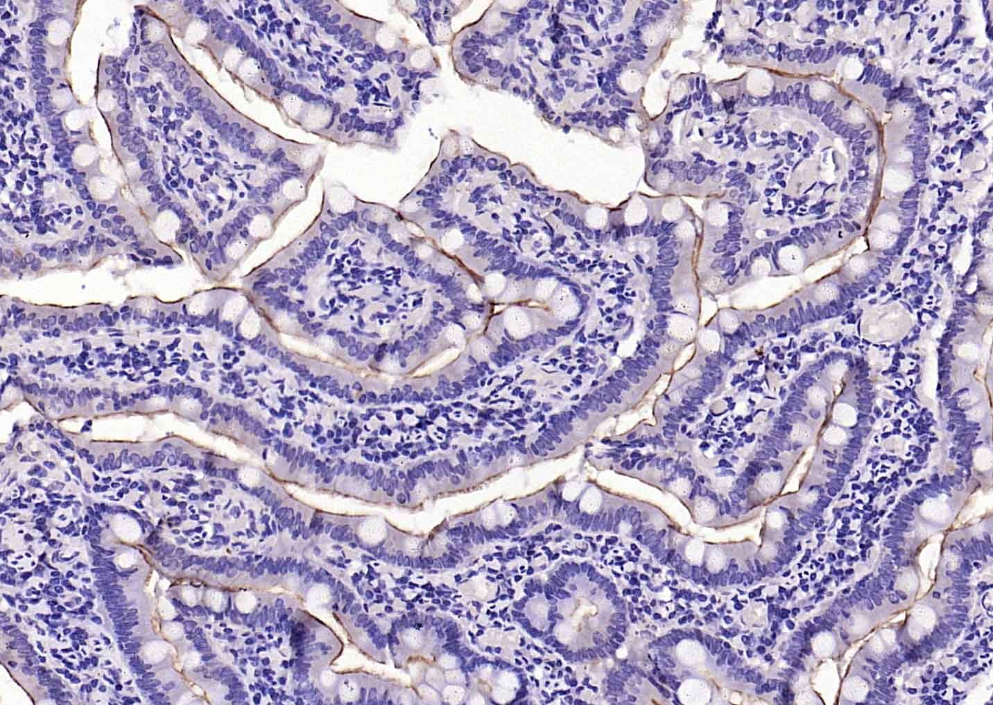
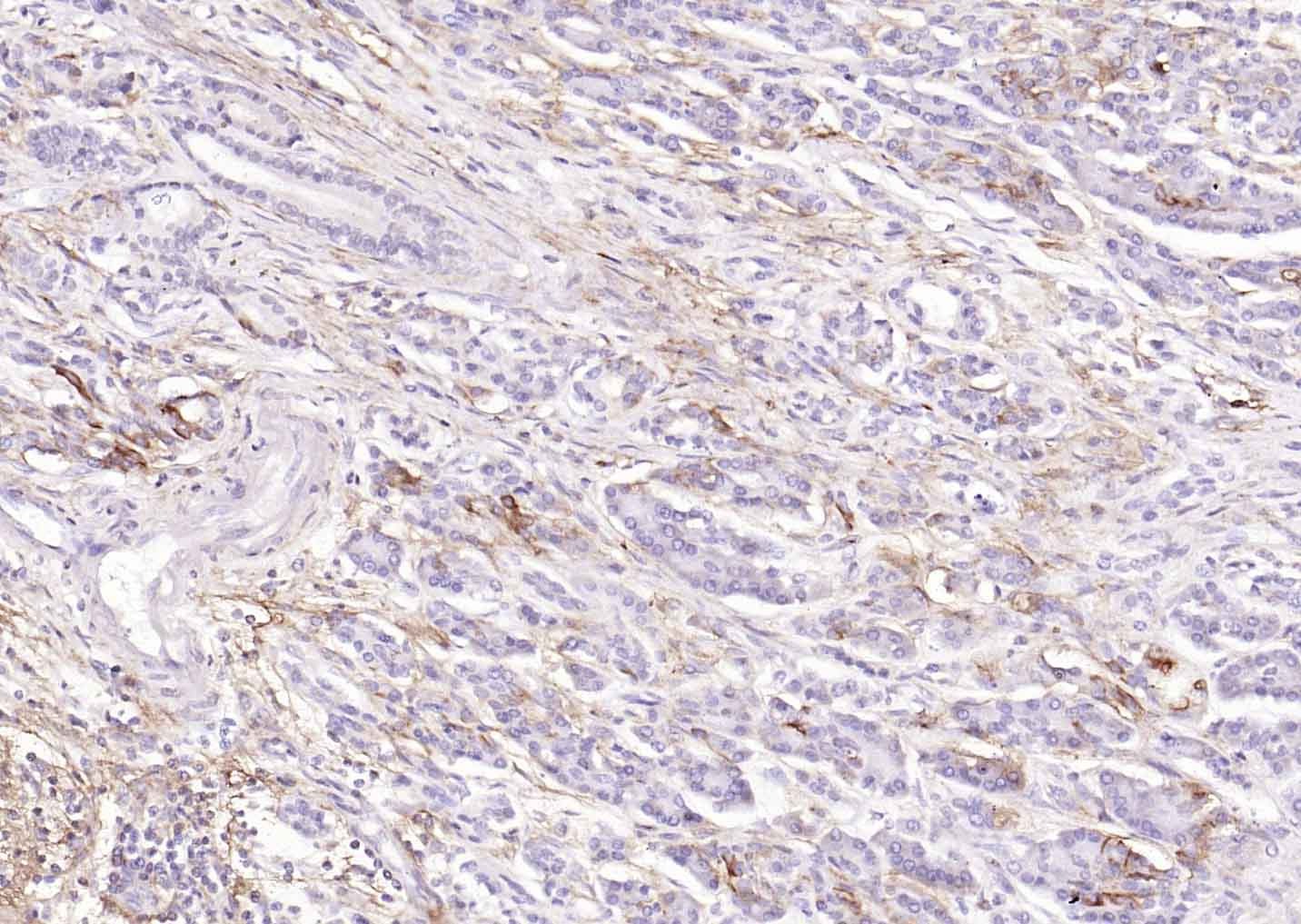
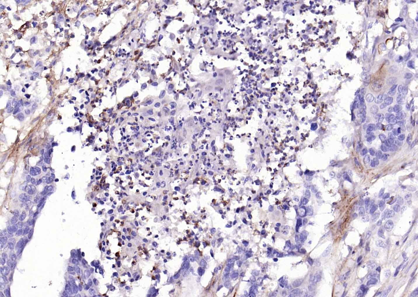
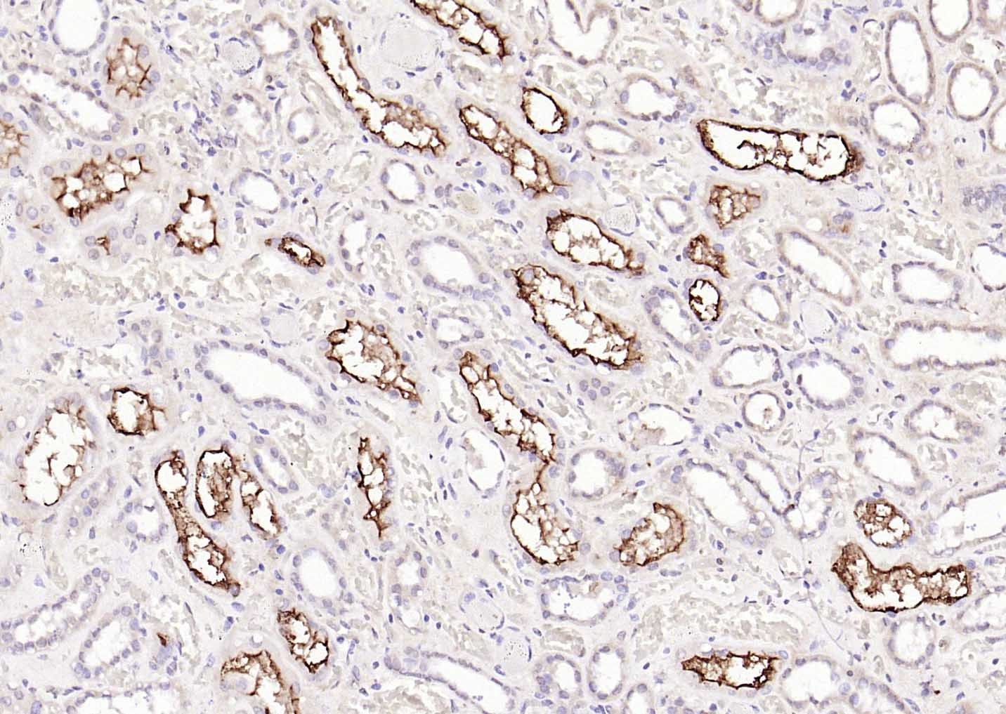
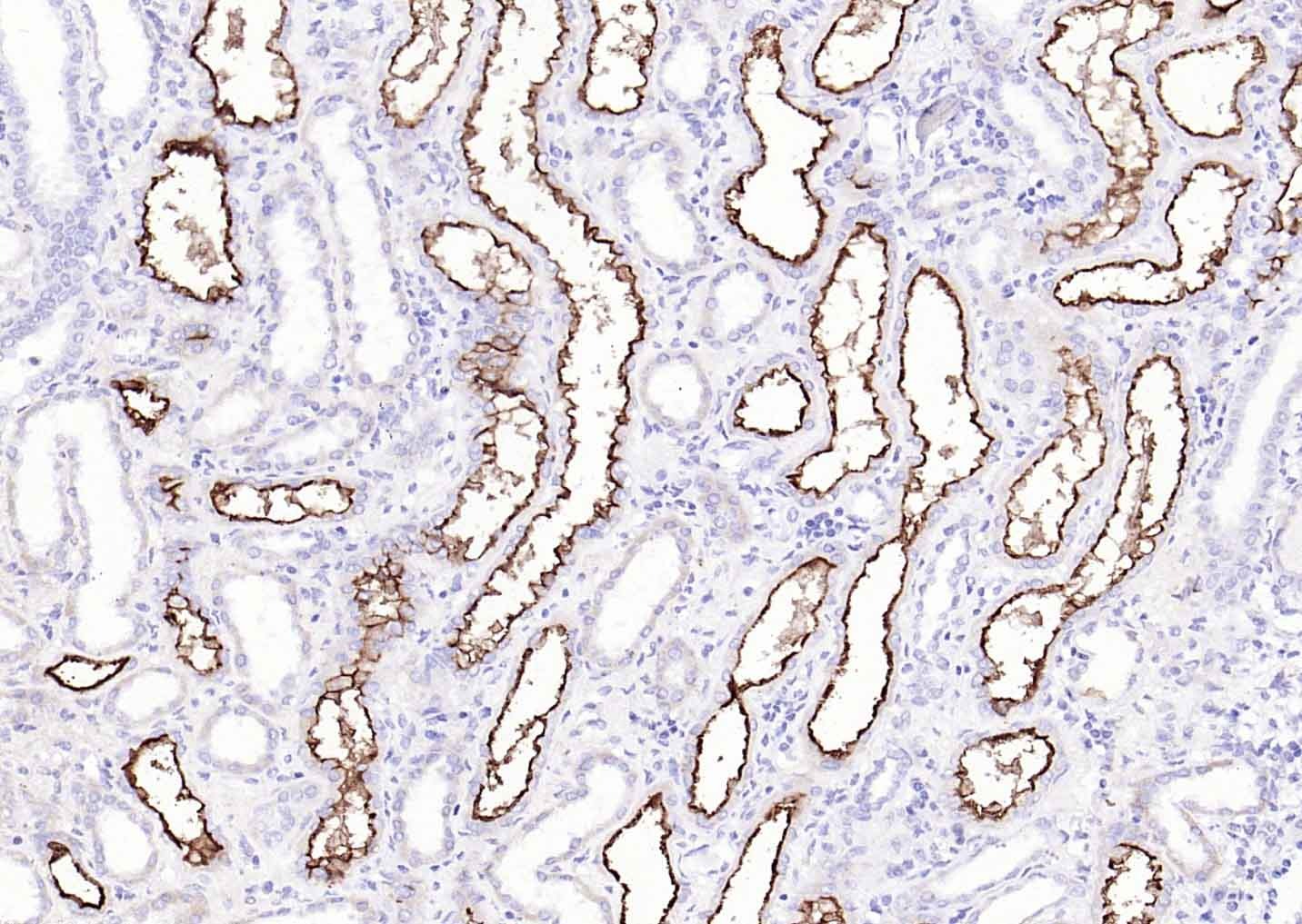
| Verified Activity | 1. Sample: Lane 1: Recombinant human ACE2 protein, His & Avi (HEK293) Primary: Anti-ACE2 (TMAB-00032) at 1/1000 dilution Secondary: IRDye800CW Goat Anti-Rabbit IgG at 1/20000 dilution Predicted band size: 87 kDa Observed band size: 110 kDa 2. Paraformaldehyde-fixed, paraffin embedded Human Kidney; Antigen retrieval by boiling in sodium citrate buffer (pH6.0) for 15 min; Antibody incubation with ACE2 Polyclonal Antibody, Unconjugated (TMAB-00032) at 1:200 overnight at 4°C, followed by conjugation to the SP Kit (Rabbit) and DAB staining. 3. Paraformaldehyde-fixed, paraffin embedded Human Duodenum; Antigen retrieval by boiling in sodium citrate buffer (pH6.0) for 15 min; Antibody incubation with ACE2 Polyclonal Antibody, Unconjugated (TMAB-00032) at 1:200 overnight at 4°C, followed by conjugation to the SP Kit (Rabbit) and DAB staining. 4. Paraformaldehyde-fixed, paraffin embedded Human Kidney Cancer; Antigen retrieval by boiling in sodium citrate buffer (pH6.0) for 15 min; Antibody incubation with ACE2 Polyclonal Antibody, Unconjugated (TMAB-00032) at 1:200 overnight at 4°C, followed by conjugation to the SP Kit (Rabbit) and DAB staining. 5. Paraformaldehyde-fixed, paraffin embedded Human Esophageal Cancer; Antigen retrieval by boiling in sodium citrate buffer (pH6.0) for 15 min; Antibody incubation with ACE2 Polyclonal Antibody, Unconjugated (TMAB-00032) at 1:200 overnight at 4°C, followed by conjugation to the SP Kit (Rabbit) and DAB staining. 6. Paraformaldehyde-fixed, paraffin embedded Human Pancreatic Cancer; Antigen retrieval by boiling in sodium citrate buffer (pH6.0) for 15 min; Antibody incubation with ACE2 Polyclonal Antibody, Unconjugated (TMAB-00032) at 1:200 overnight at 4°C, followed by conjugation to the SP Kit (Rabbit) and DAB staining. ![]() ![]() ![]() ![]() ![]() ![]() |
| Application | |
| Recommended Dose | WB: 1:500-2000; IHC-P: 1:400-800; IHC-Fr: 1:400-800; IF: 1:100-500 |
| Antibody Type | Polyclonal |
| Host Species | Rabbit |
| Subcellular Localization | Processed angiotensin-converting enzyme 2: Secreted. Cell membrane; Single-pass type I membrane protein. |
| Tissue Specificity | Expressed in endothelial cells from small and large arteries, and in arterial smooth muscle cells (at protein level) (PubMed:15141377).Expressed in enterocytes of the small intestine, Leydig cells and Sertoli cells (at protein level) (PubMed:15141377).Exp |
| Construction | Polyclonal Antibody |
| Purification | Protein A purified |
| Appearance | Liquid |
| Formulation | 0.01M TBS (pH7.4) with 1% BSA, 0.02% Proclin300 and 50% Glycerol. |
| Concentration | 1 mg/mL |
| Research Background | The protein encoded by this gene belongs to the angiotensin-converting enzyme family of dipeptidyl carboxydipeptidases and has considerable homology to human angiotensin 1 converting enzyme. This secreted protein catalyzes the cleavage of angiotensin I into angiotensin 1-9, and angiotensin II into the vasodilator angiotensin 1-7. The organ- and cell-specific expression of this gene suggests that it may play a role in the regulation of cardiovascular and renal function, as well as fertility. In addition, the encoded protein is a functional receptor for the spike glycoprotein of the human coronaviruses SARS and HCoV-NL63. [provided by RefSeq, Jul 2008] |
| Immunogen | KLH conjugated synthetic peptide: human ACE2 |
| Antigen Species | Human |
| Gene Name | ACE2 |
| Gene ID | |
| Protein Name | Angiotensin-converting enzyme 2 |
| Uniprot ID | |
| Biology Area | Blood Pressure regulation,Inotropics,Vasoconstriction,ACEs,SARS Coronavirus |
| Function | Essential counter-regulatory carboxypeptidase of the renin-angiotensin hormone system that is a critical regulator of blood volume, systemic vascular resistance, and thus cardiovascular homeostasis (PubMed:27217402).Converts angiotensin I to angiotensin 1-9, a nine-amino acid peptide with anti-hypertrophic effects in cardiomyocytes, and angiotensin II to angiotensin 1-7, which then acts as a beneficial vasodilator and anti-proliferation agent, counterbalancing the actions of the vasoconstrictor angiotensin II (PubMed:10969042, PubMed:10924499, PubMed:11815627, PubMed:19021774, PubMed:14504186).Also removes the C-terminal residue from three other vasoactive peptides, neurotensin, kinetensin, and des-Arg bradykinin, but is not active on bradykinin (PubMed:10969042, PubMed:11815627).Also cleaves other biological peptides, such as apelins (apelin-13, [Pyr1]apelin-13, apelin-17, apelin-36), casomorphins (beta-casomorphin-7, neocasomorphin) and dynorphin A with high efficiency (PubMed:11815627, PubMed:27217402, PubMed:28293165).In addition, ACE2 C-terminus is homologous to collectrin and is responsible for the trafficking of the neutral amino acid transporter SL6A19 to the plasma membrane of gut epithelial cells via direct interaction, regulating its expression on the cell surface and its catalytic activity (PubMed:18424768, PubMed:19185582).(Microbial infection) Acts as a receptor for human coronaviruses SARS-CoV and SARS-CoV-2, as well as human coronavirus NL63/HCoV-NL63. |
| Molecular Weight | Theoretical: 87 kDa. Actual: 110 kDa. |
| Stability & Storage | Store at -20°C or -80°C for 12 months. Avoid repeated freeze-thaw cycles. |
| Transport | Shipping with blue ice. |
| Size | Quantity | Unit Price | Amount | Operation |
|---|

Copyright © 2015-2026 TargetMol Chemicals Inc. All Rights Reserved.