Shopping Cart
Remove All
Your shopping cart is currently empty
Anti-14-3-3 beta/alpha Antibody (6Z701) is a Rabbit antibody targeting 14-3-3 beta/alpha. Anti-14-3-3 beta/alpha Antibody (6Z701) can be used in FCM,ICC,IHC,IP,WB.
| Pack Size | Price | USA Warehouse | Global Warehouse | Quantity |
|---|---|---|---|---|
| 50 μL | $298 | 7-10 days | 7-10 days | |
| 100 μL | $497 | 7-10 days | 7-10 days |
| Description | Anti-14-3-3 beta/alpha Antibody (6Z701) is a Rabbit antibody targeting 14-3-3 beta/alpha. Anti-14-3-3 beta/alpha Antibody (6Z701) can be used in FCM,ICC,IHC,IP,WB. |
| Synonyms | YWHAA, tyrosine 3-monooxygenase/tryptophan 5-monooxygenase activation protein, β, tyrosine 3-monooxygenase/tryptophan 5-monooxygenase activation protein, beta, KCIP-1, HS1, HEL-S-1, GW128, 14-3-3 β |
| Ig Type | IgG |
| Clone | 6Z701 |
| Reactivity | Human,Mouse,Rat |
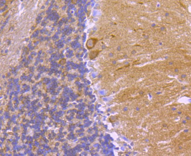
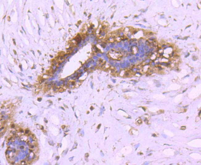
| Verified Activity | 1. Western blot analysis of 14-3-3 alpha+beta on different lysates using anti-14-3-3 alpha/beta antibody at 1/1,000 dilution. Positive control: Lane 1: Hela, Lane 2: 293T, Lane 3: HepG2. 2. Immunohistochemical analysis of paraffin-embedded human breast carcinoma tissue using anti-14-3-3 alpha+beta antibody. Counter stained with hematoxylin. 3. Immunohistochemical analysis of paraffin-embedded mouse brain tissue using anti-14-3-3 alpha+beta antibody. Counter stained with hematoxylin. 4. Immunohistochemical analysis of paraffin-embedded mouse skin tissue using anti-14-3-3 alpha+beta antibody. Counter stained with hematoxylin. 5. Immunohistochemical analysis of paraffin-embedded human breast tissue using anti-14-3-3 alpha+beta antibody. Counter stained with hematoxylin. 6. ICC staining 14-3-3 alpha+beta in Hela cells (green). The nuclear counter stain is DAPI (blue). Cells were fixed in paraformaldehyde, permeabilised with 0.25% Triton X100/PBS. 7. ICC staining 14-3-3 alpha+beta in A431 cells (green). The nuclear counter stain is DAPI (blue). Cells were fixed in paraformaldehyde, permeabilised with 0.25% Triton X100/PBS. 8. ICC staining 14-3-3 alpha+beta in SHG-44 cells (green). The nuclear counter stain is DAPI (blue). Cells were fixed in paraformaldehyde, permeabilised with 0.25% Triton X100/PBS. 9. Flow cytometric analysis of Hela cells with 14-3-3 alpha+beta antibody at 1/50 dilution (red) compared with an unlabelled control (cells without incubation with primary antibody; black). Alexa Fluor 488-conjugated goat anti rabbit IgG was used as the secondary antibody. ![]() ![]() ![]() ![]() ![]() ![]() ![]() ![]() ![]() |
| Application | |
| Recommended Dose | WB: 1:1000-5000; IHC: 1:50-200; ICC: 1:100-500; FCM: 1:50-100 |
| Antibody Type | Monoclonal |
| Host Species | Rabbit |
| Construction | Recombinant Antibody |
| Purification | ProA affinity purified |
| Appearance | Liquid |
| Formulation | 1*TBS (pH7.4), 1%BSA, 40%Glycerol. Preservative: 0.05% Sodium Azide. |
| Research Background | Members of the 14-3-3 family of proteins are highly conserved proteins, localized in neurons, and are axonally transported to the nerve terminals. They are also present, at lower levels, in various other eukaryotic tissues. 14-3-3 proteins appear to play important roles in a variety of signal transduction pathways, including those involved in cell cycle regulation and cell survival. Because 14-3-3 proteins bind to specific phosphoserine-containing sequences they are likely to have an important role in signaling pathways mediated by serine/threonine protein kinases. Evidence indicates 14-3-3 is required for Raf 1 kinase activity and phosphorylation among many other functions. |
| Conjucates | Unconjugated |
| Immunogen | Recombinant Protein |
| Uniprot ID |
| Molecular Weight | Theoretical: 28 kDa. |
| Stability & Storage | Store at -20°C or -80°C for 12 months. Avoid repeated freeze-thaw cycles. |
| Transport | Shipping with blue ice. |
| Size | Quantity | Unit Price | Amount | Operation |
|---|

Copyright © 2015-2026 TargetMol Chemicals Inc. All Rights Reserved.