Shopping Cart
Remove All
Your shopping cart is currently empty
Synonyms: α-tubulin, Tubulin-alpha, Tubulin H2-alpha, Tubulin alpha 4A chain, Tubulin alpha 4a, Tubulin alpha 1(testis specific), Tubulin alpha 1 chain, Tubulin alpha 1, Tuba4a, TUBA1, TUBA 4A, Testis-specific alpha-tubulin, TBA4A, H2 alpha, FLJ30169, Detyrosinated alpha Tubulin, alpha-tubulin 1
| Pack Size | Price | USA Stock | Global Stock | Quantity |
|---|---|---|---|---|
| 50 μL | $127 | 7-10 days | 7-10 days | |
| 100 μL | $183 | 7-10 days | 7-10 days | |
| 500 μL | $755 | 7-10 days | 7-10 days |
| Description | Alpha-Tubulin Loading Control Polyclonal Antibody is a Rabbit antibody targeting Alpha-Tubulin Loading Control. Alpha-Tubulin Loading Control Polyclonal Antibody can be used in FCM,IF,IHC-Fr,IHC-P,WB. |
| Synonyms | α-tubulin, Tubulin-alpha, Tubulin H2-alpha, Tubulin alpha 4A chain, Tubulin alpha 4a, Tubulin alpha 1(testis specific), Tubulin alpha 1 chain, Tubulin alpha 1, Tuba4a, TUBA1, TUBA 4A, Testis-specific alpha-tubulin, TBA4A, H2 alpha, FLJ30169, Detyrosinated alpha Tubulin, alpha-tubulin 1 |
| Ig Type | IgG |
| Reactivity | Human,Mouse,Rat (predicted:Sheep,Cow) |
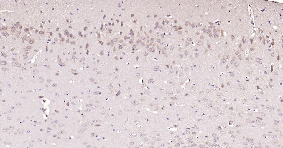
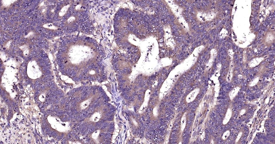
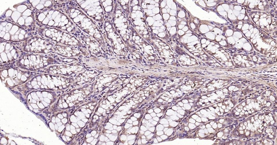
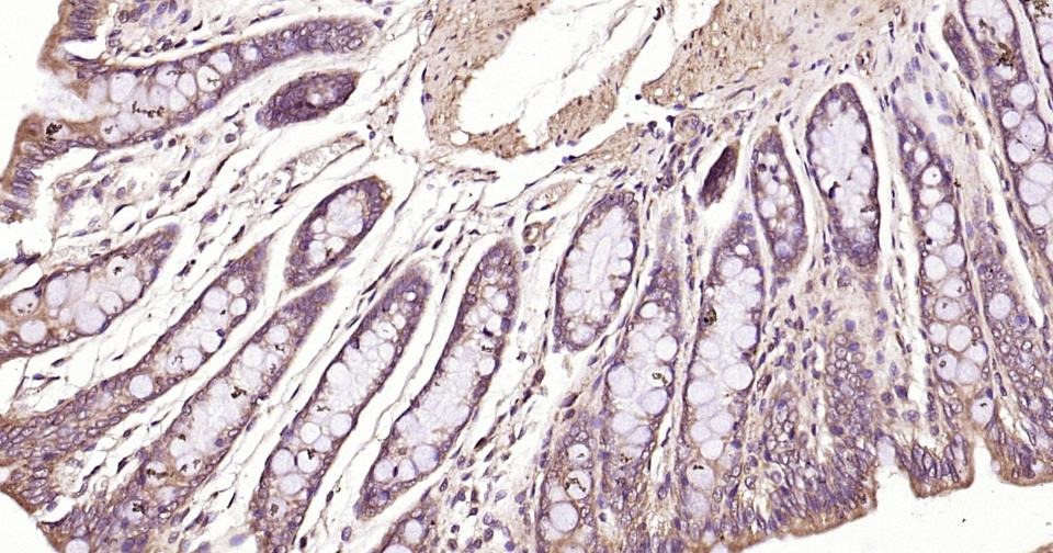
| Verified Activity | 1. Blank control: RSC96 Cells (blue). Primary Antibody: Rabbit Anti-Tubulin-alpha 1 antibody (TMAB-00109), Dilution: 1 μg in 100 μL 1X PBS containing 0.5% BSA; Isotype Control Antibody: Rabbit Igg (orange), used under the same conditions); Secondary Antibody: Goat anti-rabbit IgG-Pe (white blue), Dilution: 1:200 in 1 X PBS containing 0.5% BSA. Protocol The cells were fixed with 2% paraformaldehyde (10 min), then permeabilized with 90% ice-cold methanol for 30 min on ice. Primary antibody (TMAB-00109,1 μg/1x10^6 cells) were incubated for 30 min on the ice, followed by 1 X PBS containing 0.5% BSA + 10% goat serum (15 min) to block non-specific protein-protein interactions. Then the Goat Anti-rabbit IgG/PE antibody was added into the blocking buffer mentioned above to react with the primary antibody at 1/200 dilution for 30 min on ice. 2. Sample: Lane 1: Mouse NIH/3T3 cell lysates Lane 2: Human HepG2 cell lysates Lane 3: Human 293T cell lysates Primary: Anti-Tubulin-alpha (TMAB-00109) at 1/1000 dilution Secondary: IRDye800CW Goat Anti-Rabbit IgG at 1/20000 dilution Predicted band size: 50 kDa Observed band size: 52 kDa 3. Sample: Lane 1: Human HeLa cell lysates Lane 2: Human Jurkat cell lysates Lane 3: Human SH-SY5Y cell lysates Lane 4: Human U-2 OS cell lysates Lane 5: Human A431 cell lysates Primary: Anti-Tubulin-alpha (TMAB-00109) at 1/1000 dilution Secondary: IRDye800CW Goat Anti-Rabbit IgG at 1/20000 dilution Predicted band size: 50 kDa Observed band size: 52 kDa 4. Paraformaldehyde-fixed, paraffin embedded Mouse Colon; Antigen retrieval by boiling in sodium citrate buffer (pH6.0) for 15 min; Antibody incubation with Tubulin-alpha Polyclonal Antibody, Unconjugated (TMAB-00109) at 1:200 overnight at 4°C, followed by conjugation to the secondary antibody and DAB staining. 5. Paraformaldehyde-fixed, paraffin embedded Rat Colon; Antigen retrieval by boiling in sodium citrate buffer (pH6.0) for 15 min; Antibody incubation with Tubulin-alpha Polyclonal Antibody, Unconjugated (TMAB-00109) at 1:200 overnight at 4°C, followed by conjugation to the secondary antibody and DAB staining. 6. Paraformaldehyde-fixed, paraffin embedded Human Colon Cancer; Antigen retrieval by boiling in sodium citrate buffer (pH6.0) for 15 min; Antibody incubation with Tubulin-alpha Polyclonal Antibody, Unconjugated (TMAB-00109) at 1:200 overnight at 4°C, followed by conjugation to the secondary antibody and DAB staining. 7. Paraformaldehyde-fixed, paraffin embedded Mouse Cerebrum; Antigen retrieval by boiling in sodium citrate buffer (pH6.0) for 15 min; Antibody incubation with Tubulin-alpha Polyclonal Antibody, Unconjugated (TMAB-00109) at 1:200 overnight at 4°C, followed by conjugation to the secondary antibody and DAB staining. 8. Paraformaldehyde-fixed, paraffin embedded Rat Cerebrum; Antigen retrieval by boiling in sodium citrate buffer (pH6.0) for 15 min; Antibody incubation with Tubulin-alpha Polyclonal Antibody, Unconjugated (TMAB-00109) at 1:200 overnight at 4°C, followed by conjugation to the secondary antibody and DAB staining. 9. Paraformaldehyde-fixed, paraffin embedded Human Cerebrum; Antigen retrieval by boiling in sodium citrate buffer (pH6.0) for 15 min; Antibody incubation with Tubulin-alpha Polyclonal Antibody, Unconjugated (TMAB-00109) at 1:200 overnight at 4°C, followed by conjugation to the secondary antibody and DAB staining. |
| Application | |
| Recommended Dose | WB: 1:500-2000; IHC-P: 1:100-500; IHC-Fr: 1:100-500; IF: 1:100-500; FCM: 1μg/Test |
| Antibody Type | Polyclonal |
| Host Species | Rabbit |
| Subcellular Localization | Cytoplasm, cytoskeleton. |
| Tissue Specificity | Ubiquitously expressed with highest levels in Brain, Bone, Adipocyte, and Breast. |
| Construction | Polyclonal Antibody |
| Purification | Protein A purified |
| Appearance | Liquid |
| Formulation | 0.01M TBS (pH7.4) with 1% BSA, 0.02% Proclin300 and 50% Glycerol. |
| Concentration | 1 mg/mL |
| Research Background | Tubulin is a major cytoskeleton that has five distinct forms, designated alpha, beta, gamma, delta and epsilon tubulin. The alpha and beta tubulins form a heterodimer that polymerize into the cylindrical microtubule fibers. Both alpha and beta tubulin bind GTP. Only beta tubulin hydrolyzes GTP to GDP. This hydrolysis is a process that is linked to tubulin polymerization and microtubule formation. The alpha tubulin isomer can be modified by addition of a C-terminal tyrosine residue. This modification may influence polymerization rates. The gamma tubulin isomer is localized to centrosomes which compose the heart of the microtubule organizing center from which microtubule fibers emanate. |
| Immunogen | KLH conjugated synthetic peptide: human Tubulin-alpha 1 |
| Antigen Species | Human |
| Gene Name | TUBA1A |
| Gene ID | |
| Protein Name | Tubulin alpha-1A chain |
| Uniprot ID | |
| Biology Area | Tubulin |
| Function | Tubulin is the major constituent of microtubules. It binds two moles of GTP, one at an exchangeable site on the beta chain and one at a non-exchangeable site on the alpha chain. |
| Molecular Weight | Theoretical: 50 kDa. Actual: 52 kDa. |
| Stability & Storage | Store at -20°C or -80°C for 12 months. Avoid repeated freeze-thaw cycles. |
| Transport | Shipping with blue ice. |
| Size | Quantity | Unit Price | Amount | Operation |
|---|

Copyright © 2015-2026 TargetMol Chemicals Inc. All Rights Reserved.