Shopping Cart
Remove All
Your shopping cart is currently empty
Anti-Vitamin D Receptor/VDR Polyclonal Antibody is a Rabbit antibody targeting Vitamin D Receptor/VDR. Anti-Vitamin D Receptor/VDR Polyclonal Antibody can be used in FCM,IF,IHC-Fr,IHC-P.
| Pack Size | Price | USA Warehouse | Global Warehouse | Quantity |
|---|---|---|---|---|
| 50 μL | $221 | 7-10 days | 7-10 days | |
| 100 μL | $372 | 7-10 days | 7-10 days | |
| 200 μL | $528 | 7-10 days | 7-10 days |
| Description | Anti-Vitamin D Receptor/VDR Polyclonal Antibody is a Rabbit antibody targeting Vitamin D Receptor/VDR. Anti-Vitamin D Receptor/VDR Polyclonal Antibody can be used in FCM,IF,IHC-Fr,IHC-P. |
| Synonyms | vitamin D (1,25- dihydroxyvitamin D3) receptor, PPP1R163, NR1I1 |
| Ig Type | IgG |
| Reactivity | Human,Mouse (predicted:Rat,Dog,Pig,Cow,Horse,Rabbit,Sheep) |
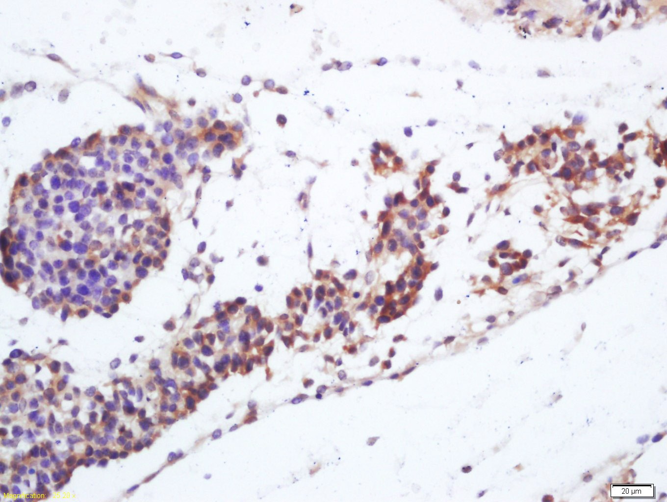
| Verified Activity | 1. Blank control: U937. Primary Antibody (green line): Rabbit Anti-Vitamin D Receptor antibody (TMAB-01970) Dilution: 1 μg/Test; Secondary Antibody: Goat anti-rabbit IgG-FITC Dilution: 0.5 μg/Test. Protocol The cells were fixed with 4% PFA (10 min at room temperature) and then permeabilized with 90% ice-cold methanol for 20 min at-20°C. The cells were then incubated in 5% BSA to block non-specific protein-protein interactions for 30 min at room temperature. Cells stained with Primary Antibody for 30 min at room temperature. The secondary antibody used for 40 min at room temperature. 2. Tissue/cell: mouse embryo tissue; 4% Paraformaldehyde-fixed and paraffin-embedded; Antigen retrieval: citrate buffer (0.01M, pH6.0), Boiling bathing for 15 min; Block endogenous peroxidase by 3% Hydrogen peroxide for 30 min; Blocking buffer (normal goat serum) at 37°C for 20 min; Incubation: Anti-Vitamin D Receptor Polyclonal Antibody, Unconjugated (TMAB-01970) 1:200, overnight at 4°C, followed by conjugation to the secondary antibody and DAb staining. ![]() ![]() |
| Application | |
| Recommended Dose | IHC-P: 1:100-500; IHC-Fr: 1:100-500; IF: 1:100-500; FCM: 1ug/Test |
| Antibody Type | Polyclonal |
| Host Species | Rabbit |
| Subcellular Localization | Nucleus. |
| Construction | Polyclonal Antibody |
| Purification | Protein A purified |
| Appearance | Liquid |
| Formulation | 0.01M TBS (pH7.4) with 1% BSA, 0.02% Proclin300 and 50% Glycerol. |
| Concentration | 1 mg/mL |
| Research Background | Nuclear hormone receptor. Transcription factor that mediates the action of vitamin D3 by controlling the expression of hormone sensitive genes. Regulates transcription of hormone sensitive genes via its association with the WINAC complex, a chromatin-remodeling complex. Recruited to promoters via its interaction with the WINAC complex subunit BAZ1B/WSTF, which mediates the interaction with acetylated histones, an essential step for VDR-promoter association. Plays a central role in calcium homeostasis. |
| Immunogen | KLH conjugated synthetic peptide: human Vitamin D Receptor |
| Antigen Species | Human |
| Gene Name | VDR |
| Gene ID | |
| Protein Name | Vitamin D3 receptor |
| Uniprot ID | |
| Biology Area | Vitamin D Receptor,Zinc Finger,Vitamin D Receptor,Nuclear hormone receptors |
| Function | Nuclear hormone receptor. Transcription factor that mediates the action of vitamin D3 by controlling the expression of hormone sensitive genes. Regulates transcription of hormone ensitive genes via its association with the WINAC complex, a chromatin-remodeling complex. Recruited to promoters via its interaction with the WINAC complex subunit BAZ1B/WSTF, which mediates the interaction with acetylated histones, an essential step for VDR-promoter association. Plays a central role in calcium homeostasis. |
| Molecular Weight | Theoretical: 47 kDa. |
| Stability & Storage | Store at -20°C or -80°C for 12 months. Avoid repeated freeze-thaw cycles. |
| Transport | Shipping with blue ice. |
| Size | Quantity | Unit Price | Amount | Operation |
|---|

Copyright © 2015-2026 TargetMol Chemicals Inc. All Rights Reserved.