Shopping Cart
Remove All
Your shopping cart is currently empty
Anti-RUNX1/RUNX2/RUNX3 Antibody (4N296) is a Rabbit antibody targeting RUNX1/RUNX2/RUNX3. Anti-RUNX1/RUNX2/RUNX3 Antibody (4N296) can be used in FCM,ICC/IF,IHC,IP,WB.
| Pack Size | Price | USA Warehouse | Global Warehouse | Quantity |
|---|---|---|---|---|
| 50 μL | $298 | 7-10 days | 7-10 days | |
| 100 μL | $496 | 7-10 days | 7-10 days |
| Description | Anti-RUNX1/RUNX2/RUNX3 Antibody (4N296) is a Rabbit antibody targeting RUNX1/RUNX2/RUNX3. Anti-RUNX1/RUNX2/RUNX3 Antibody (4N296) can be used in FCM,ICC/IF,IHC,IP,WB. |
| Synonyms | Runx 1, Runt-related transcription factor 1, Polyomavirus enhancer-binding protein 2 alpha B subunit (PEA2-alpha B, PEBP2-α B), PEA2-alpha B, Oncogene AML-1, Core-binding factor subunit α-2 (CBF-α-2), Core-binding factor subunit alpha-2 (CBF-alpha-2), Core-binding factor subunit a-2 (CBF-a-2), Cbfa 2, Acute myeloid leukemia 1 protein |
| Ig Type | IgG |
| Clone | 4N296 |
| Reactivity | Human,Mouse,Rat |
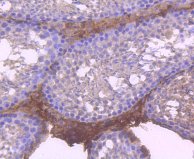
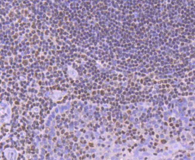
| Verified Activity | 1. Western blot analysis of RUNX1+RUNX2+RUNX3 on Jurkat cells lysates using anti-RUNX1+RUNX2+RUNX3 antibody at 1/1,000 dilution. 2. Immunohistochemical analysis of paraffin-embedded mouse testis tissue using anti-RUNX1+RUNX2+RUNX3 antibody. Counter stained with hematoxylin. 3. Immunohistochemical analysis of paraffin-embedded human tonsil tissue using anti-RUNX1+RUNX2+RUNX3 antibody. Counter stained with hematoxylin. 4. ICC staining RUNX1+RUNX2+RUNX3 in N2A cells (green). The nuclear counter stain is DAPI (blue). Cells were fixed in paraformaldehyde, permeabilised with 0.25% Triton X100/PBS. 5. ICC staining RUNX1+RUNX2+RUNX3 in MCF-7 cells (green). The nuclear counter stain is DAPI (blue). Cells were fixed in paraformaldehyde, permeabilised with 0.25% Triton X100/PBS. 6. ICC staining RUNX1+RUNX2+RUNX3 in SHG-44 cells (green). The nuclear counter stain is DAPI (blue). Cells were fixed in paraformaldehyde, permeabilised with 0.25% Triton X100/PBS. 7. Flow cytometric analysis of Jurkat cells with RUNX1+RUNX2+RUNX3 antibody at 1/50 dilution (red) compared with an unlabelled control (cells without incubation with primary antibody; black). Alexa Fluor 488-conjugated goat anti rabbit IgG was used as the secondary antibody. ![]() ![]() ![]() ![]() ![]() ![]() ![]() |
| Application | |
| Recommended Dose | WB: 1:1000-2000; IHC: 1:50-200; ICC/IF: 1:50-200; FCM: 1:50-100 |
| Antibody Type | Monoclonal |
| Host Species | Rabbit |
| Construction | Recombinant Antibody |
| Purification | ProA affinity purified |
| Appearance | Liquid |
| Formulation | 1*TBS (pH7.4), 1%BSA, 40%Glycerol. Preservative: 0.05% Sodium Azide. |
| Research Background | The mammalian Runt-related transcription factor (RUNX) family comprises three members, RUNX1 (also designated AML-1, PEBP2αB, CBFA2), RUNX2 (also designated AML-3, PEBP2αA, CBFA1, Osf2) and RUNX3 (also designated AML-2, PEBPαC, CBFA3). RUNX family members are DNA-binding proteins that regulate the expression of genes involved in cellular differentiation and cell cycle progression. RUNX1 is involved in hematopoiesis and is frequently targeted in human leukemia by chromosomal translocations that fuse the DNA-binding domain of RUNX1 to other transcription factors and corepressor molecules. In addition to its role in leukemogenesis, RUNX1 is also involved in sensory neuron diversification. RUNX1 promotes axonal growth, is selectively expressed in neural crest-derived TrkA+ sensory neurons and mediates TrkA transactivation in migratory neural crest cells. RUNX2 is essential for skeletal mineralization in that it stimulates osteoblast differentiation of mesenchymal stem cells, promotes chondrocyte hypertrophy and contributes to endothelial cell migration and vascular invasion of developing bones. Regulating RUNX2 expression may be a useful therapeutic tool for promoting bone formation. Mutations in the C-terminus of RUNX2 are associated with cleidocranial dysplasia syndrome, an autosomal-dominant skeletal dysplasia syndrome that is characterized by widely patent calvarial sutures, clavicular hypoplasia, supernumerary teeth, and short stature. RUNX3 is expressed in cells of hematopoietic origin, including myeloid and B-cell lines and spleen. By playing a role in controlling the growth and differentiation of gastric epithelial cells, RUNX3 is a strong candidate as a gastric cancer tumor suppressor. Specifically, hypermethylation inactivates the gene encoding RUNX3. The detection of hypermethylation at multiple regions within the RUNX3 CpG island may aid in the diagnosis and risk assessment of gastric cancer. |
| Conjucates | Unconjugated |
| Immunogen | Recombinant Protein |
| Uniprot ID |
| Molecular Weight | Theoretical: 49 kDa. |
| Stability & Storage | Store at -20°C or -80°C for 12 months. Avoid repeated freeze-thaw cycles. |
| Transport | Shipping with blue ice. |
| Size | Quantity | Unit Price | Amount | Operation |
|---|

Copyright © 2015-2026 TargetMol Chemicals Inc. All Rights Reserved.