Shopping Cart
Remove All
Your shopping cart is currently empty
Anti-NF-kB p65 Antibody (4U638) is a Rabbit antibody targeting NF-kB p65. Anti-NF-kB p65 Antibody (4U638) can be used in FCM,ICC/IF,IHC,IP,WB.
| Pack Size | Price | USA Warehouse | Global Warehouse | Quantity |
|---|---|---|---|---|
| 50 μL | $296 | 7-10 days | 7-10 days | |
| 100 μL | $498 | 7-10 days | 7-10 days |
| Description | Anti-NF-kB p65 Antibody (4U638) is a Rabbit antibody targeting NF-kB p65. Anti-NF-kB p65 Antibody (4U638) can be used in FCM,ICC/IF,IHC,IP,WB. |
| Synonyms | v-rel avian reticuloendotheliosis viral oncogene homolog A, p65, NFKB3 |
| Ig Type | IgG |
| Clone | 4U638 |
| Reactivity | Human,Mouse,zebrafish |
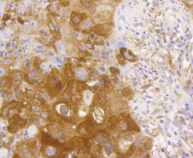
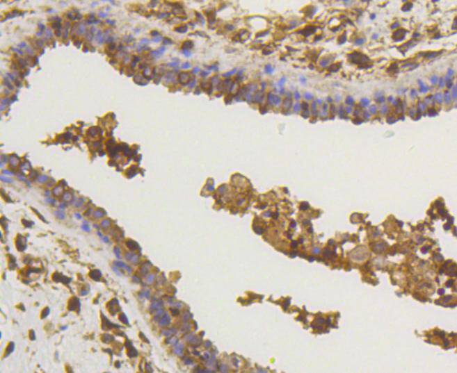
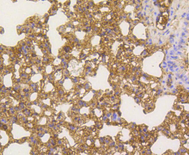
| Verified Activity | 1. Western blot analysis of NF-kB p65 on different lysates using anti-NF-kB p65 antibody at 1/1,000 dilution. Positive control: Lane 1: MCF-7, Lane 2: Hela. 2. Western blot analysis of NF-kB p65 on hybrid fish (crucian-carp) heart tissue lysate using anti-NF-kB p65 antibody at 1/500 dilution. 3. Immunohistochemical analysis of paraffin-embedded human lung cancer tissue using anti-NF-kB p65 antibody. Counter stained with hematoxylin. 4. Immunohistochemical analysis of paraffin-embedded human breast carcinoma tissue using anti-NF-kB p65 antibody. Counter stained with hematoxylin. 5. Immunohistochemical analysis of paraffin-embedded mouse lung tissue using anti-NF-kB p65 antibody. Counter stained with hematoxylin. 6. ICC staining NF-kB p65 in Hela cells (green). The nuclear counter stain is DAPI (blue). Cells were fixed in paraformaldehyde, permeabilised with 0.25% Triton X100/PBS. 7. ICC staining NF-kB p65 in A549 cells (green). The nuclear counter stain is DAPI (blue). Cells were fixed in paraformaldehyde, permeabilised with 0.25% Triton X100/PBS. 8. ICC staining NF-kB p65 in NIH/3T3 cells (green). The nuclear counter stain is DAPI (blue). Cells were fixed in paraformaldehyde, permeabilised with 0.25% Triton X100/PBS. 9. Flow cytometric analysis of Hela cells with NF-kB p65 antibody at 1/50 dilution (blue) compared with an unlabelled control (cells without incubation with primary antibody; red). Alexa Fluor 488-conjugated goat anti rabbit IgG was used as the secondary antibody. ![]() ![]() ![]() ![]() ![]() ![]() ![]() ![]() ![]() |
| Application | |
| Recommended Dose | WB: 1:1000-2000; IHC: 1:50-200; ICC/IF: 1:50-200; FCM: 1:50-100 |
| Antibody Type | Monoclonal |
| Host Species | Rabbit |
| Construction | Recombinant Antibody |
| Purification | ProA affinity purified |
| Appearance | Liquid |
| Formulation | 1*TBS (pH7.4), 1%BSA, 40%Glycerol. Preservative: 0.05% Sodium Azide. |
| Research Background | Proteins encoded by the v-Rel viral oncogene and its cellular homolog, c-Rel, are members of a family of transcription factors that include the two subunits of the transcription factor NF kB (p50 and p65) and the Drosophila maternal morphogen, dorsal. Both proteins specifically bind to DNA sequences that are the same or slight variations of the 10 bp kB sequence in the immunoglobulin k light chain enhancer. This same sequence is also present in a number of other cellular and viral enhancers. The DNA binding activity of NFkB is activated and NFkB is subsequently transported from the cytoplasm to the nucleus in cells exposed to mitogens or growth factors. cDNAs encoding precursors for two distinct proteins of the same size have been described, designated p105 and p100. The p105 precursor contains p50 at its N-terminus and a C-terminal region that when expressed as a separate molecule, designated pdI, binds to p50 and regulates its activity. |
| Conjucates | Unconjugated |
| Immunogen | Recombinant Protein |
| Uniprot ID |
| Molecular Weight | Theoretical: 65 kDa. |
| Stability & Storage | Store at -20°C or -80°C for 12 months. Avoid repeated freeze-thaw cycles. |
| Transport | Shipping with blue ice. |
| Size | Quantity | Unit Price | Amount | Operation |
|---|

Copyright © 2015-2026 TargetMol Chemicals Inc. All Rights Reserved.