Shopping Cart
Remove All
Your shopping cart is currently empty
Synonyms: Segregation distortion, Segregation distorter homolog, SD, RanGAP1, RanGAP 1, RANGAP, Ran1, Ran GTPase-activating protein 1, RAN GTPase activating protein 1, Ran 1, RAGP1_HUMAN, OTTHUMP00000198758, OTTHUMP00000198757, OTTHUMP00000198756, OTTHUMP00000198755, OTTHUMP00000028918, MGC20266, KIAA1835, GTPase-activating protein, RAN, 1, Fug1, Fug 1
| Pack Size | Price | USA Stock | Global Stock | Quantity |
|---|---|---|---|---|
| 50 μL | $297 | 7-10 days | 7-10 days | |
| 100 μL | $497 | 7-10 days | 7-10 days |
| Description | Anti-RanGAP1 Antibody (8X592) is a Rabbit antibody targeting RanGAP1. Anti-RanGAP1 Antibody (8X592) can be used in FCM,ICC,IF,IHC,IP,WB. |
| Synonyms | Segregation distortion, Segregation distorter homolog, SD, RanGAP1, RanGAP 1, RANGAP, Ran1, Ran GTPase-activating protein 1, RAN GTPase activating protein 1, Ran 1, RAGP1_HUMAN, OTTHUMP00000198758, OTTHUMP00000198757, OTTHUMP00000198756, OTTHUMP00000198755, OTTHUMP00000028918, MGC20266, KIAA1835, GTPase-activating protein, RAN, 1, Fug1, Fug 1 |
| Ig Type | IgG |
| Clone | 8X592 |
| Reactivity | Human,Mouse,Rat |
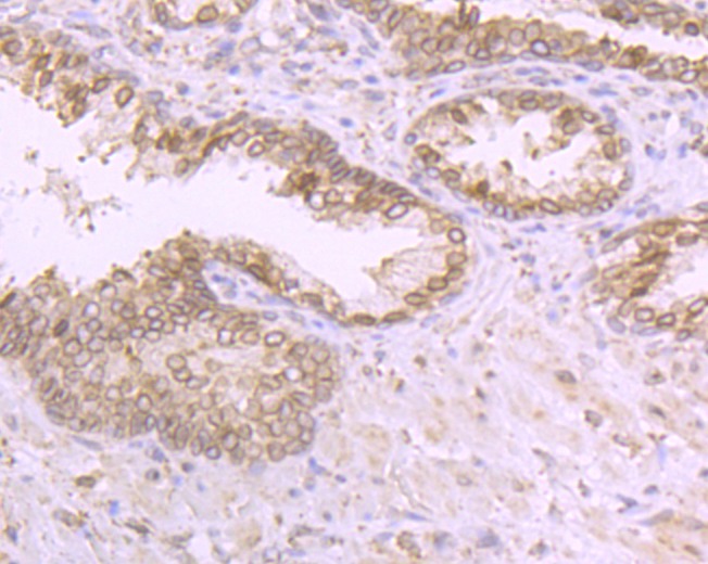
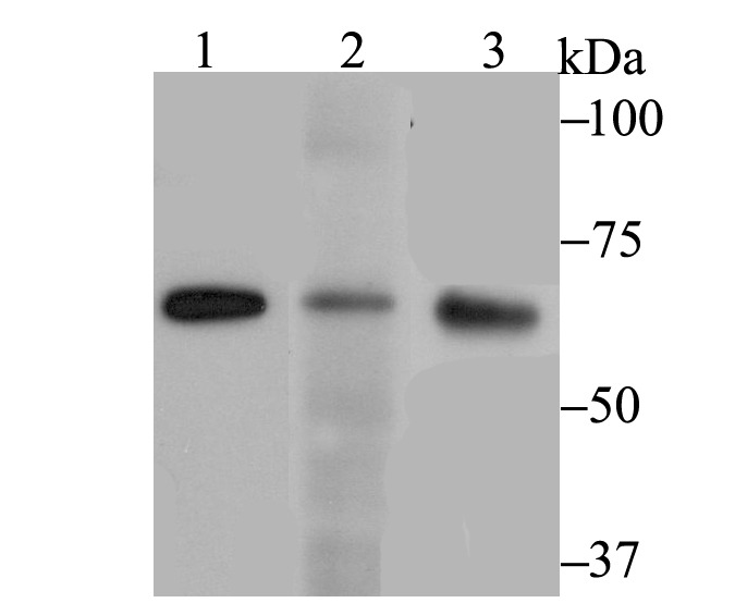
| Verified Activity | 1. Western blot analysis of RanGAP1 on different cell lysates using anti-RanGAP1 antibody at 1/1,000 dilution. Positive control: Lane 1: MCF-7, Lane 2: SiHa, Lane 3: 293. 2. Immunohistochemical analysis of paraffin-embedded rat testis tissue using anti-RanGAP1 antibody. Counter stained with hematoxylin. 3. Immunohistochemical analysis of paraffin-embedded human prostate tissue using anti-RanGAP1 antibody. Counter stained with hematoxylin. 4. Immunohistochemical analysis of paraffin-embedded mouse brain tissue using anti-RanGAP1 antibody. Counter stained with hematoxylin. 5. Immunohistochemical analysis of paraffin-embedded human kidney tissue using anti-RanGAP1 antibody. Counter stained with hematoxylin. 6. ICC staining RanGAP1 (green) in 293T cells. The nuclear counter stain is DAPI (blue). Cells were fixed in paraformaldehyde, permeabilised with 0.25% Triton X100/PBS. 7. Flow cytometric analysis of A431 cells with RanGAP1 antibody at 1/100 dilution (purple) compared with an unlabelled control (cells without incubation with primary antibody; yellow). Alexa Fluor 488-conjugated goat anti-rabbit IgG was used as the secondary antibody. |
| Application | |
| Recommended Dose | WB: 1:500-2000; IHC: 1:50-200; ICC:IF: 1:100; IP: 1:10-50; FCM: 1:50-100 |
| Antibody Type | Monoclonal |
| Host Species | Rabbit |
| Construction | Recombinant Antibody |
| Purification | ProA affinity purified |
| Appearance | Liquid |
| Formulation | 1*TBS (pH7.4), 1%BSA, 40%Glycerol. Preservative: 0.05% Sodium Azide. |
| Research Background | The small Ras related protein Ran, also called TC4, is a nuclear localized GTPase implicated in a diverse array of cellular processes including DNA replication, entry into and exit from mitosis and the transport of RNA and proteins through the nuclear pore complex. Like Ras, active Ran GTP and inactive Ran GDP levels are tightly regulated by guanine nucleotide exchange factors (GEFs) and GTPase-activating proteins (GAPs). The abundant GEF RCC1 (regulator of chromosome condensation 1) increases the rate at which Ran exchanges GDP for GTP. Ran GAP1 opposes the effects of RCC1 by increasing the rate at which Ran hydrolyzes GTP to GDP. A protein designated Ran BP1 has no intrinsic GAP activity and functions as a GEF inhibitor deactivating RCC1 and thereby indirectly increasing the ratio of Ran GDP to Ran GTP. Ran BP2 has been proposed as the Ran GTP docking site at the periphery of the nuclear pore complex. |
| Conjucates | Unconjugated |
| Uniprot ID |
| Molecular Weight | Theoretical: 64 kDa. |
| Stability & Storage | Store at -20°C or -80°C for 12 months. Avoid repeated freeze-thaw cycles. |
| Transport | Shipping with blue ice. |
| Size | Quantity | Unit Price | Amount | Operation |
|---|

Copyright © 2015-2026 TargetMol Chemicals Inc. All Rights Reserved.