Shopping Cart
Remove All
Your shopping cart is currently empty
Anti-Phospho-NF-kB p65 (Ser529) Polyclonal Antibody is a Rabbit antibody targeting Phospho-NF-kB p65 (Ser529). Anti-Phospho-NF-kB p65 (Ser529) Polyclonal Antibody can be used in IF,IHC,WB.
| Pack Size | Price | USA Warehouse | Global Warehouse | Quantity |
|---|---|---|---|---|
| 50 μL | $218 | 7-10 days | 7-10 days | |
| 100 μL | $318 | 7-10 days | 7-10 days |
| Description | Anti-Phospho-NF-kB p65 (Ser529) Polyclonal Antibody is a Rabbit antibody targeting Phospho-NF-kB p65 (Ser529). Anti-Phospho-NF-kB p65 (Ser529) Polyclonal Antibody can be used in IF,IHC,WB. |
| Synonyms | v-rel avian reticuloendotheliosis viral oncogene homolog A, p-NF-kB p65 (Ser529), p-NF-kB p65 (S529), p65, NFKB3, NF-kB p65 (p-Ser529), NF-kB p65 (p-S529) |
| Ig Type | IgG |
| Reactivity | Human,Mouse,Rat |
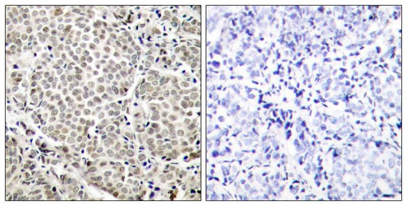
| Verified Activity | 1. Immunohistochemical analysis of paraffin-embedded human breast carcinoma tissue using NFkB-p65 (Phospho-Ser529) Antibody TMAC-02813 (left) or the same antibody preincubated with blocking peptide (right). 2. Immunofluorescence staining of methanol-fixed Hela cells using NFkB-p65 (Phospho-Ser529) Antibody TMAC-02813. 3. Western blot analysis of extracts from 293 cells untreatedor treated with TNF-α using NFκB-p65 (Phospho-Ser529)Antibody TMAC-02813. 4. Western blot analysis of extracts from MCF cells, treated with TNFa+CA or calf intestinal phosphatase (CIP), using NFκB-p65 (Phospho-Ser529) Antibody TMAC-02813. 5. Western blot analysis of extracts from Jurkat cells untreated or treated with TNF alpha or Calyculin A, using NFκB-p65 (Phospho-Ser529) Antibody TMAC-02813. ![]() ![]() ![]() ![]() ![]() |
| Application | |
| Recommended Dose | IF: 1:50-200; WB: 1:500-2000; IHC: 1:100-300 |
| Antibody Type | Polyclonal |
| Host Species | Rabbit |
| Construction | Polyclonal Antibody |
| Purification | The antibody was affinity-purified from rabbit antiserum by affinity-chromatography using epitope-specific immunogen. |
| Appearance | Liquid |
| Formulation | Liquid in PBS containing 50% glycerol, 0.5% BSA and 0.02% sodium azide. |
| Research Background | NF-kappa-B is a pleiotropic transcription factor which is present in almost all cell types and is involved in many biological processed such as inflammation, immunity, differentiation, cell growth, tumorigenesis and apoptosis. NF-kappa-B is a homo- or heterodimeric complex formed by the Rel-like domain-containing proteins RELA/p65, RELB, NFKB1/p105, NFKB1/p50, REL and NFKB2/p52 and the heterodimeric p65-p50 complex appears to be most abundant one. The dimers bind at kappa-B sites in the DNA of their target genes and the individual dimers have distinct preferences for different kappa-B sites that they can bind with distinguishable affinity and specificity. Different dimer combinations act as transcriptional activators or repressors, respectively. NF-kappa-B is controlled by various mechanisms of post-translational modification and subcellular compartmentalization as well as by interactions with other cofactors or corepressors. NF-kappa-B complexes are held in the cytoplasm in an inactive state complexed with members of the NF-kappa-B inhibitor (I-kappa-B) family. In a conventional activation pathway, I-kappa-B is phosphorylated by I-kappa-B kinases (IKKs) in response to different activators, subsequently degraded thus liberating the active NF-kappa-B complex which translocates to the nucleus. NF-kappa-B heterodimeric p65-p50 and p65-c-Rel complexes are transcriptional activators. The NF-kappa-B p65-p65 complex appears to be involved in invasin-mediated activation of IL-8 expression. The inhibitory effect of I-kappa-B upon NF-kappa-B the cytoplasm is exerted primarily through the interaction with p65. p65 shows a weak DNA-binding site which could contribute directly to DNA binding in the NF-kappa-B complex |
| Conjucates | Unconjugated |
| Others Formats | Phospho |
| Immunogen | A synthesized phosphopeptide: human NFκB-p65 around the phosphorylation site of Ser529 |
| Antigen Species | human |
| Uniprot ID |
| Stability & Storage | Store at 2°C-8°C for 1 month. Store at -20°C or -80°C for 12 months. Avoid repeated freeze-thaw cycles. |
| Transport | Shipping with blue ice. |
| Size | Quantity | Unit Price | Amount | Operation |
|---|

Copyright © 2015-2026 TargetMol Chemicals Inc. All Rights Reserved.