Shopping Cart
Remove All
Your shopping cart is currently empty
Anti-Phospho-CREB1 (Ser133) Antibody (4I795) is a Rabbit antibody targeting Phospho-CREB1 (Ser133). Anti-Phospho-CREB1 (Ser133) Antibody (4I795) can be used in FCM,ICC,IF,IHC,IP,WB.
| Pack Size | Price | USA Warehouse | Global Warehouse | Quantity |
|---|---|---|---|---|
| 50 μL | $298 | 7-10 days | 7-10 days | |
| 100 μL | $498 | 7-10 days | 7-10 days |
| Description | Anti-Phospho-CREB1 (Ser133) Antibody (4I795) is a Rabbit antibody targeting Phospho-CREB1 (Ser133). Anti-Phospho-CREB1 (Ser133) Antibody (4I795) can be used in FCM,ICC,IF,IHC,IP,WB. |
| Synonyms | p-CREB1 (Ser133), p-CREB1 (S133), CREB1 (p-Ser133), CREB1 (p-S133) |
| Ig Type | IgG |
| Clone | 4I795 |
| Reactivity | Human,Mouse |
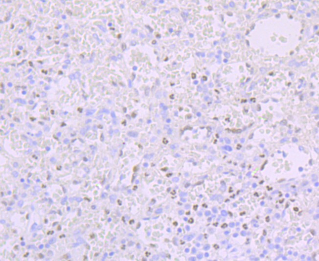
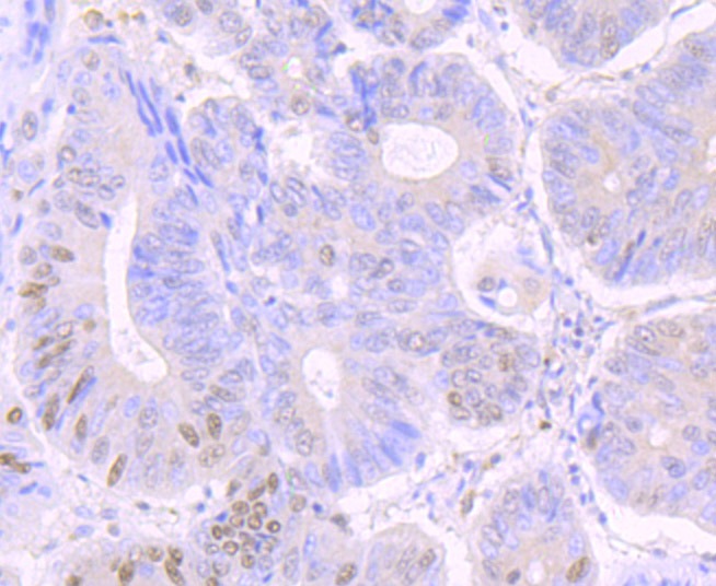
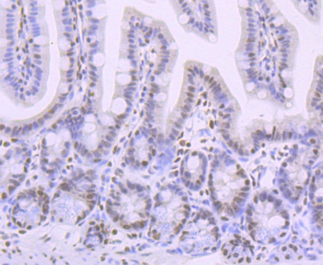
| Verified Activity | 1. Western blot analysis of Phospho-Creb (S133) on human colon tissue lysates using anti-Phospho-Creb (S133) antibody at 1/500 dilution. 2. Immunohistochemical analysis of paraffin-embedded human spleen tissue using anti-Phospho-Creb (S133) antibody. Counter stained with hematoxylin. 3. Immunohistochemical analysis of paraffin-embedded mouse colon tissue using anti-Phospho-Creb (S133) antibody. Counter stained with hematoxylin. 4. Immunohistochemical analysis of paraffin-embedded human colon cancer tissue using anti-Phospho-Creb (S133) antibody. Counter stained with hematoxylin. 5. ICC staining Phospho-Creb (S133) in SH-SY-5Y cells (green). The nuclear counter stain is DAPI (blue). Cells were fixed in paraformaldehyde, permeabilised with 0.25% Triton X100/PBS. 6. ICC staining Phospho-Creb (S133) in HUVEC cells (green). The nuclear counter stain is DAPI (blue). Cells were fixed in paraformaldehyde, permeabilised with 0.25% Triton X100/PBS. 7. Flow cytometric analysis of HUVEC cells with Phospho-Creb (S133) antibody at 1/100 dilution (red) compared with an unlabelled control (cells without incubation with primary antibody; black). Alexa Fluor 488-conjugated goat anti rabbit IgG was used as the secondary antibody. ![]() ![]() ![]() ![]() ![]() ![]() ![]() |
| Application | |
| Recommended Dose | WB: 1:500-2000; IHC: 1:50-200; ICC: 1:50-100; IP: 1:10-50; FCM: 1:50-100 |
| Antibody Type | Monoclonal |
| Host Species | Rabbit |
| Construction | Recombinant Antibody |
| Purification | ProA affinity purified |
| Appearance | Liquid |
| Formulation | 1*TBS (pH7.4), 1%BSA, 40%Glycerol. Preservative: 0.05% Sodium Azide. |
| Research Background | Phosphorylation-dependent transcription factor that stimulates transcription upon binding to the DNA cAMP response element (CRE), a sequence present in many viral and cellular promoters. Transcription activation is enhanced by the TORC coactivators which act independently of Ser-133 phosphorylation. Involved in different cellular processes including the synchronization of circadian rhythmicity and the differentiation of adipose cells. |
| Conjucates | Unconjugated |
| Others Formats | Phospho |
| Immunogen | A synthesized phosphopeptide: human Creb around the phosphorylation site of Ser133 |
| Antigen Species | human |
| Uniprot ID |
| Molecular Weight | Theoretical: 37 kDa. |
| Stability & Storage | Store at -20°C or -80°C for 12 months. Avoid repeated freeze-thaw cycles. |
| Transport | Shipping with blue ice. |
| Size | Quantity | Unit Price | Amount | Operation |
|---|

Copyright © 2015-2026 TargetMol Chemicals Inc. All Rights Reserved.