Shopping Cart
Remove All
Your shopping cart is currently empty
Anti-PGAM1 Antibody (6H458) is a Rabbit antibody targeting PGAM1. Anti-PGAM1 Antibody (6H458) can be used in FCM,IHC,WB.
| Pack Size | Price | USA Warehouse | Global Warehouse | Quantity |
|---|---|---|---|---|
| 50 μL | $298 | 7-10 days | 7-10 days | |
| 100 μL | $497 | 7-10 days | 7-10 days |
| Description | Anti-PGAM1 Antibody (6H458) is a Rabbit antibody targeting PGAM1. Anti-PGAM1 Antibody (6H458) can be used in FCM,IHC,WB. |
| Synonyms | Phosphoglycerate mutase isozyme B, Phosphoglycerate mutase 1, PGAM-B, PGAMA, PGAM 1, EC 5.4.2.4, EC 5.4.2.11, BPG-dependent PGAM 1 |
| Ig Type | IgG |
| Clone | 6H458 |
| Reactivity | Human,Mouse,Rat |
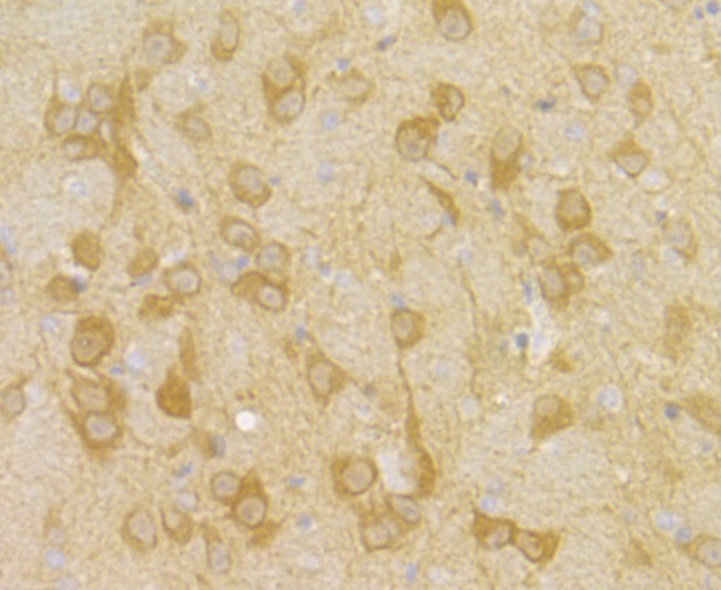
| Verified Activity | 1. Western blot analysis of PGAM1 on different lysates using anti-PGAM1 antibody at 1/2,000 dilution. Positive control: Lane 1: A431, Lane 2: A549, Lane 3: Rat brain, Lane 4: Mouse brain. 2. Immunohistochemical analysis of paraffin-embedded rat brain tissue using anti-PGAM1 antibody. Counter stained with hematoxylin. 3. Immunohistochemical analysis of paraffin-embedded human liver tissue using anti-PGAM1 antibody. Counter stained with hematoxylin. 4. Flow cytometric analysis of Jurkat cells with PGAM1 antibody at 1/100 dilution (purple) compared with an unlabelled control (cells without incubation with primary antibody; yellow). Alexa Fluor 488-conjugated goat anti-rabbit IgG was used as the secondary antibody. ![]() ![]() ![]() ![]() |
| Application | |
| Recommended Dose | WB: 1:500-2000; IHC: 1:50-100; FCM: 1:50-100 |
| Antibody Type | Monoclonal |
| Host Species | Rabbit |
| Construction | Recombinant Antibody |
| Purification | ProA affinity purified |
| Appearance | Liquid |
| Formulation | 1*TBS (pH7.4), 1%BSA, 40%Glycerol. Preservative: 0.05% Sodium Azide. |
| Research Background | Members of the PGAM (phosphoglycerate mutase) family of proteins are important components of glucose and 2,3-BPGA (2,3-bisphosphoglycerate) metabolism. They are responsible for catalyzing the transfer of phospho groups between the carbon atoms of phosphoglycerates. In mammals there are two types of PGAM isozymes: PGAM1 (also known as PGAMB) and PGAM2 (also known as PGAMA). In the cell, PGAM1 and PGAM2 exist as either homodimers or heterodimers and are responsible for the interconversion of 3-phosphoglycerate and 2-phosphoglycerate. PGAM2 homodimers are expressed in skeletal muscle, mature sperm cells and heart; PGAM1 homodimers are found in most other tissues; and PGAM1/PGAM2 heterodimers are found exclusively in the heart. PGAM4, also known as PGAM3, is a protein formerly considered to be specific to humans. Initially the PGAM4 gene was described as a pseudogene but it is now known to encode a functional protein at least 25 million years old. The gene encoding PGAM4 is believed to have originated by retrotransposition, with the original copy being the PGAM1 gene. |
| Conjucates | Unconjugated |
| Uniprot ID |
| Molecular Weight | Theoretical: 29 kDa. |
| Stability & Storage | Store at -20°C or -80°C for 12 months. Avoid repeated freeze-thaw cycles. |
| Transport | Shipping with blue ice. |
| Size | Quantity | Unit Price | Amount | Operation |
|---|

Copyright © 2015-2026 TargetMol Chemicals Inc. All Rights Reserved.