Shopping Cart
Remove All
Your shopping cart is currently empty
Anti-Nestin/NES Antibody (7Y567) is a Rabbit antibody targeting Nestin/NES. Anti-Nestin/NES Antibody (7Y567) can be used in ICC/IF,IHC.
| Pack Size | Price | USA Warehouse | Global Warehouse | Quantity |
|---|---|---|---|---|
| 50 μL | $296 | 7-10 days | 7-10 days | |
| 100 μL | $497 | 7-10 days | 7-10 days |
| Description | Anti-Nestin/NES Antibody (7Y567) is a Rabbit antibody targeting Nestin/NES. Anti-Nestin/NES Antibody (7Y567) can be used in ICC/IF,IHC. |
| Ig Type | IgG |
| Clone | 7Y567 |
| Reactivity | Human |
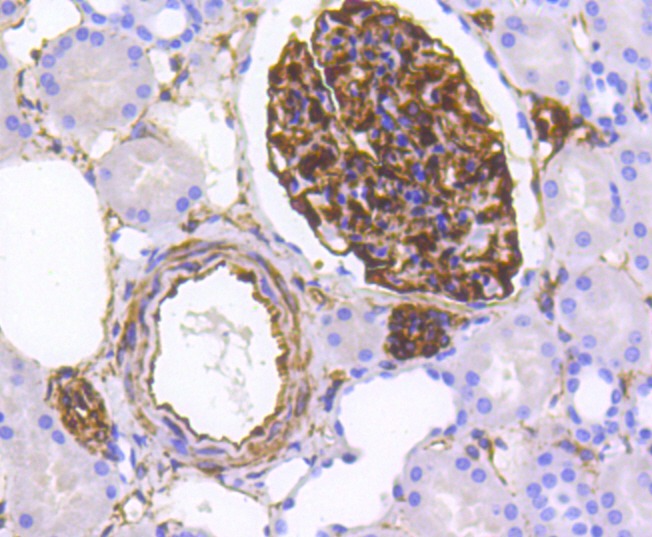
| Verified Activity | 1. Immunohistochemical analysis of paraffin-embedded human kidney tissue using anti-Nestin antibody. Counter stained with hematoxylin. ![]() |
| Application | |
| Recommended Dose | IHC: 1:50-200; ICC/IF: 1:50-200 |
| Antibody Type | Monoclonal |
| Host Species | Rabbit |
| Construction | Recombinant Antibody |
| Purification | ProA affinity purified |
| Appearance | Liquid |
| Formulation | 1*TBS (pH7.4), 1%BSA, 40%Glycerol. Preservative: 0.05% Sodium Azide. |
| Research Background | Nestin is a major intermediate filament (IF) protein of embryonic central nervous system progenitor cells. It is also a component of the dynamic IF network during muscle development, where it polymerizes with Desmin and Vimentin. Nestin co-assembles with Vimentin or a-internexin and forms heterodimer coiled-coil molecules which then further assemble into 10 nml IFs. Deletion of the IF consensus rod domain in nestin alters nestin localization in CNS precursor cells and radial glial cells in vivo. Nestin is a marker for neuroepithelial stem cells, glioma cells and tumor endothelial cells during rapid growth. During axon elongation of differen-tiation neurons, nestin localizes to the growth cones and may play a role in growth cone guidance. In the rat adrenal gland, nestin is expressed by the zona fasciculata and the zona reticularis. Nestin is also expressed by dermatomal cells and by myoblasts during the earliest stages of myogenesis. |
| Conjucates | Unconjugated |
| Immunogen | Recombinant Protein |
| Uniprot ID |
| Stability & Storage | Store at -20°C or -80°C for 12 months. Avoid repeated freeze-thaw cycles. |
| Transport | Shipping with blue ice. |
| Size | Quantity | Unit Price | Amount | Operation |
|---|

Copyright © 2015-2026 TargetMol Chemicals Inc. All Rights Reserved.