Shopping Cart
Remove All
Your shopping cart is currently empty
Anti-KRT20 Antibody (7P648) is a Rabbit antibody targeting KRT20. Anti-KRT20 Antibody (7P648) can be used in FCM,ICC/IF,IHC,IP,WB.
| Pack Size | Price | USA Warehouse | Global Warehouse | Quantity |
|---|---|---|---|---|
| 50 μL | $296 | 7-10 days | 7-10 days | |
| 100 μL | $496 | 7-10 days | 7-10 days |
| Description | Anti-KRT20 Antibody (7P648) is a Rabbit antibody targeting KRT20. Anti-KRT20 Antibody (7P648) can be used in FCM,ICC/IF,IHC,IP,WB. |
| Synonyms | type I cytoskeletal 20, Protein IT, KRT 20, Keratin-20, Keratin, K20, Cytokeratin-20, CK-20 |
| Ig Type | IgG |
| Clone | 7P648 |
| Reactivity | Human,Rat |
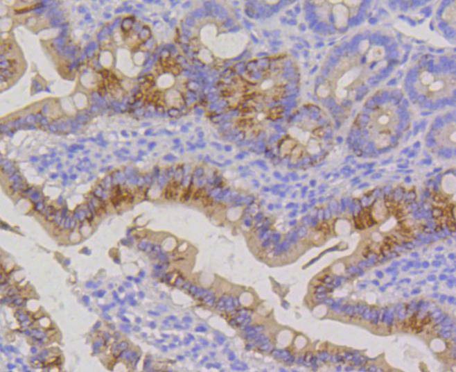
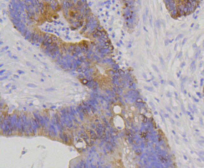
| Verified Activity | 1. Western blot analysis of Cytokeratin 20 on different cell lysates using anti-Cytokeratin 20 antibody at 1/1,000 dilution. Positive control: Lane 1: Lovo, Lane 2: HCT116, Lane 3: CRC. 2. Immunohistochemical analysis of paraffin-embedded rat small intestine tissue using anti-Cytokeratin 20 antibody. Counter stained with hematoxylin. 3. Immunohistochemical analysis of paraffin-embedded human colon cancer tissue using anti-Cytokeratin 20 antibody. Counter stained with hematoxylin. 4. ICC staining Cytokeratin 20 in CRC cells (green). The nuclear counter stain is DAPI (blue). Cells were fixed in paraformaldehyde, permeabilised with 0.25% Triton X100/PBS. 5. Flow cytometric analysis of CRC cells with Cytokeratin 20 antibody at 1/50 dilution (blue) compared with an unlabelled control (cells without incubation with primary antibody; red). Alexa Fluor 488-conjugated goat anti rabbit IgG was used as the secondary antibody. ![]() ![]() ![]() ![]() ![]() |
| Application | |
| Recommended Dose | WB: 1:1000-5000; IHC: 1:50-200; ICC/IF: 1:50-200; FCM: 1:10-100 |
| Antibody Type | Monoclonal |
| Host Species | Rabbit |
| Construction | Recombinant Antibody |
| Purification | ProA affinity purified |
| Appearance | Liquid |
| Formulation | 1*TBS (pH7.4), 1%BSA, 40%Glycerol. Preservative: 0.05% Sodium Azide. |
| Research Background | Cytokeratins comprise a diverse group of intermediate filament proteins (IFPs) that are expressed as pairs in both keratinized and non-keratinized epithelial tissue, where they constitute up to 85% of mature keratinocytes in the vertebrate epidermis. Cytokeratins play a critical role in differentiation and tissue specialization and function to maintain the overall structural integrity of epi-thelial cells. The a-helical coiled-coil dimers associate laterally end-to-end to form 10 nm diameter filaments. Cytokeratins are useful markers of tissue differentiation, and in addition, they aid in the characterization of malignant tumors. Cytokeratin 20 is abundantly expressed in goblet cells and enterocytes of the gastrointestinal tract, and Cytokeratin 20 is a useful marker of pancreatic and colorectal cancer. Cytokeratin 20 is also helpful in distinguishing different types of highly related carcinomas, such as renal oncocytomas from renal cell carcinomas. |
| Conjucates | Unconjugated |
| Immunogen | Recombinant Protein |
| Uniprot ID |
| Molecular Weight | Theoretical: 44 kDa. |
| Stability & Storage | Store at -20°C or -80°C for 12 months. Avoid repeated freeze-thaw cycles. |
| Transport | Shipping with blue ice. |
| Size | Quantity | Unit Price | Amount | Operation |
|---|

Copyright © 2015-2026 TargetMol Chemicals Inc. All Rights Reserved.