Shopping Cart
Remove All
Your shopping cart is currently empty
Anti-IRF5 Antibody (6F756) is a Rabbit antibody targeting IRF5. Anti-IRF5 Antibody (6F756) can be used in FCM,IHC,WB.
| Pack Size | Price | USA Warehouse | Global Warehouse | Quantity |
|---|---|---|---|---|
| 50 μL | $297 | 7-10 days | 7-10 days | |
| 100 μL | $496 | 7-10 days | 7-10 days |
| Description | Anti-IRF5 Antibody (6F756) is a Rabbit antibody targeting IRF5. Anti-IRF5 Antibody (6F756) can be used in FCM,IHC,WB. |
| Synonyms | IRF-5, IRF5, Interferon Regulatory Factor 5 |
| Ig Type | IgG |
| Clone | 6F756 |
| Reactivity | Human |
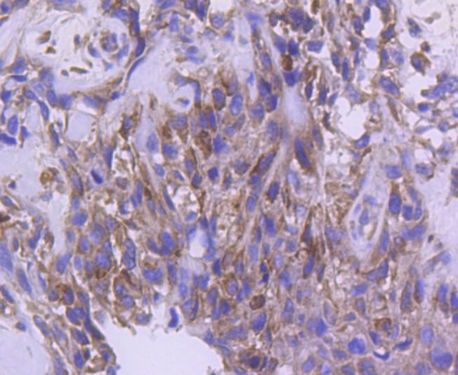
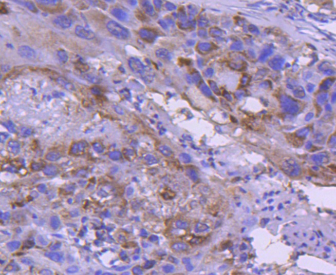
| Verified Activity | 1. Western blot analysis of IRF5 on THP-1 cells lysates using anti-IRF5 antibody at 1/1,000 dilution. 2. Immunohistochemical analysis of paraffin-embedded human lung cancer tissue using anti-IRF5 antibody. Counter stained with hematoxylin. 3. Immunohistochemical analysis of paraffin-embedded human breast carcinoma tissue using anti-IRF5 antibody. Counter stained with hematoxylin. 4. Flow cytometric analysis of K562 cells with IRF5 antibody at 1/50 dilution (red) compared with an unlabelled control (cells without incubation with primary antibody; black). Alexa Fluor 488-conjugated goat anti rabbit IgG was used as the secondary antibody. ![]() ![]() ![]() ![]() |
| Application | |
| Recommended Dose | WB: 1:1000-5000; IHC: 1:50-200; FCM: 1:50-100 |
| Antibody Type | Monoclonal |
| Host Species | Rabbit |
| Construction | Recombinant Antibody |
| Purification | ProA affinity purified |
| Appearance | Liquid |
| Formulation | 1*TBS (pH7.4), 1%BSA, 40%Glycerol. Preservative: 0.05% Sodium Azide. |
| Research Background | Interferon regulatory factor 5 (IRF-5), belongs to the IRF family of DNA-binding factors, which includes IRF-1, IRF-2, IRF-3, IRF-4, IRF-6, IRF-7, ISGF-3γ p48 and IFN consensus sequence-binding protein (ICSBP). The IRF family regulate both interferon and interferon-inducible genes. IRF-5, like IRF-3 and IRF-7, is a direct transducer of virus-mediated signaling and plays a role in the expression of multiple cytokines/chemokines. Although IRF-5 is a direct target of p53, its cell cycle regulatory and proapoptotic effects are p53 independent. |
| Conjucates | Unconjugated |
| Immunogen | Recombinant Protein |
| Uniprot ID |
| Molecular Weight | Theoretical: 56 kDa. |
| Stability & Storage | Store at -20°C or -80°C for 12 months. Avoid repeated freeze-thaw cycles. |
| Transport | Shipping with blue ice. |
| Size | Quantity | Unit Price | Amount | Operation |
|---|

Copyright © 2015-2026 TargetMol Chemicals Inc. All Rights Reserved.