Shopping Cart
Remove All
Your shopping cart is currently empty
Anti-IL-1 beta/IL-1F2 Antibody (7U755) is a Rabbit antibody targeting IL-1 beta/IL-1F2. Anti-IL-1 beta/IL-1F2 Antibody (7U755) can be used in FCM,ICC/IF,IHC,WB.
| Pack Size | Price | USA Warehouse | Global Warehouse | Quantity |
|---|---|---|---|---|
| 50 μL | $298 | 7-10 days | 7-10 days | |
| 100 μL | $497 | 7-10 days | 7-10 days |
| Description | Anti-IL-1 beta/IL-1F2 Antibody (7U755) is a Rabbit antibody targeting IL-1 beta/IL-1F2. Anti-IL-1 beta/IL-1F2 Antibody (7U755) can be used in FCM,ICC/IF,IHC,WB. |
| Ig Type | IgG |
| Clone | 7U755 |
| Reactivity | Human |
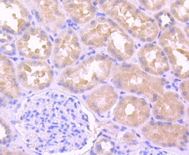
| Verified Activity | 1. Immunohistochemical analysis of paraffin-embedded human kidney tissue using anti-IL1 beta antibody. Counter stained with hematoxylin. 2. ICC staining IL1 beta in A431 cells (green). The nuclear counter stain is DAPI (blue). Cells were fixed in paraformaldehyde, permeabilised with 0.25% Triton X100/PBS. 3. ICC staining IL1 beta in Hela cells (green). The nuclear counter stain is DAPI (blue). Cells were fixed in paraformaldehyde, permeabilised with 0.25% Triton X100/PBS. 4. Flow cytometric analysis of Hela cells with IL1 beta antibody at 1/50 dilution (red) compared with an unlabelled control (cells without incubation with primary antibody; black). Alexa Fluor 488-conjugated goat anti rabbit IgG was used as the secondary antibody. ![]() ![]() ![]() ![]() |
| Application | |
| Recommended Dose | WB: 1:1000; IHC: 1:50-200; ICC/IF: 1:50-200; FCM: 1:50-100 |
| Antibody Type | Monoclonal |
| Host Species | Rabbit |
| Construction | Recombinant Antibody |
| Purification | ProA affinity purified |
| Appearance | Liquid |
| Formulation | 1*TBS (pH7.4), 1%BSA, 40%Glycerol. Preservative: 0.05% Sodium Azide. |
| Research Background | Two forms of interleukin-1, designated IL-1α and IL-1β, have been described. Although encoded by distinct genes and exhibiting roughly only 25% sequence identity, IL-1α and IL-1β bind to the same receptor and seem to elicit similar biological responses. IL-1 production is generally thought to be associated with inflammation, but it has also been shown to be expressed during kidney development, thymocyte differentiation and cartilage degradation. IL-1 plays a critical role in the regulation of immune response and inflammation, acting as an activator of T and B lymphocytes and natural killer (NK) cells. In T cells, IL-1 stimulates the production of IL-2 and selectively inhibits IL-4 expression. IL-1 induces B cell proliferation and maturation, and immunoglobulin synthesis. NK cells require IL-1β for production of the pathogen IFN-γ. IL-1 has also been implicated in several pathological conditions including rheumatoid arthritis, inflammatory bowel disease and atherosclerosis. |
| Conjucates | Unconjugated |
| Immunogen | Recombinant Protein |
| Uniprot ID |
| Molecular Weight | Theoretical: 31 kDa. |
| Stability & Storage | Store at -20°C or -80°C for 12 months. Avoid repeated freeze-thaw cycles. |
| Transport | Shipping with blue ice. |
| Size | Quantity | Unit Price | Amount | Operation |
|---|

Copyright © 2015-2026 TargetMol Chemicals Inc. All Rights Reserved.