Shopping Cart
Remove All
Your shopping cart is currently empty
Anti-IGF1/IGF-I Polyclonal Antibody is a Rabbit antibody targeting IGF1/IGF-I. Anti-IGF1/IGF-I Polyclonal Antibody can be used in IF, IHC-Fr, IHC-P, WB.
| Pack Size | Price | USA Stock | Global Stock | Quantity |
|---|---|---|---|---|
| 50 μL | $222 | 7-10 days | 7-10 days | |
| 100 μL | $373 | 7-10 days | 7-10 days | |
| 200 μL | $529 | 7-10 days | 7-10 days |
| Description | Anti-IGF1/IGF-I Polyclonal Antibody is a Rabbit antibody targeting IGF1/IGF-I. Anti-IGF1/IGF-I Polyclonal Antibody can be used in IF, IHC-Fr, IHC-P, WB. |
| Synonyms | somatomedin C, MGF, insulin-like growth factor 1, IGF‑I, IGF-I, IGFI, IGF1A, IGF-1 |
| Ig Type | IgG |
| Reactivity | Human,Mouse,Rat (predicted:Dog,Pig,Cow,Rabbit,Sheep) |
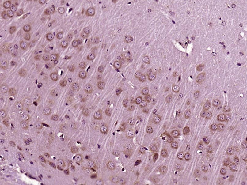
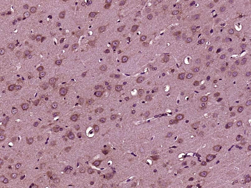
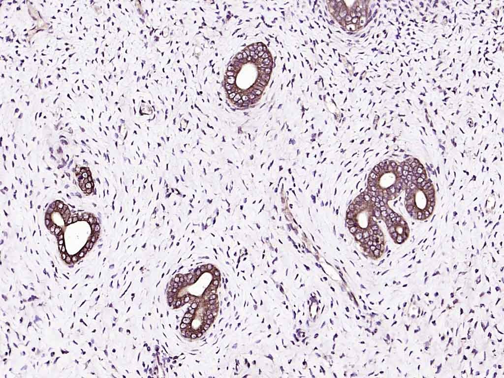
| Verified Activity | 1. Paraformaldehyde-fixed, paraffin embedded (Rat brain); Antigen retrieval by boiling in sodium citrate buffer (pH6.0) for 15 min; Block endogenous peroxidase by 3% hydrogen peroxide for 20 min; Blocking buffer (normal goat serum) at 37°C for 30 min; Antibody incubation with (IGF 1) Polyclonal Antibody, Unconjugated (TMAB-00916) at 1:400 overnight at 4°C, followed by operating according to SP Kit (Rabbit) instructionsand DAB staining. 2. Paraformaldehyde-fixed, paraffin embedded (rat uterus); Antigen retrieval by boiling in sodium citrate buffer (pH6.0) for 15 min; Block endogenous peroxidase by 3% hydrogen peroxide for 20 min; Blocking buffer (normal goat serum) at 37°C for 30 min; Antibody incubation with (IGF 1) Polyclonal Antibody, Unconjugated (TMAB-00916) at 1:200 overnight at 4°C, followed by operating according to SP Kit (Rabbit) instructionsand DAB staining. 3. Paraformaldehyde-fixed, paraffin embedded (Mouse brain); Antigen retrieval by boiling in sodium citrate buffer (pH6.0) for 15 min; Block endogenous peroxidase by 3% hydrogen peroxide for 20 min; Blocking buffer (normal goat serum) at 37°C for 30 min; Antibody incubation with (IGF 1) Polyclonal Antibody, Unconjugated (TMAB-00916) at 1:400 overnight at 4°C, followed by operating according to SP Kit (Rabbit) instructionsand DAB staining. 4. 20 ng rhIGF-1 protein, Trx & His per Lane probed with IGF 1 polyclonal antibody respectively, unconjugated (TMAB-00916) at 1:1000 dilution and 4°C overnight incubation. Followed by corresponding conjugated secondary antibody incubation at RT for 60 min. ![]() ![]() ![]() ![]() |
| Application | |
| Recommended Dose | WB: 1:500-2000; IHC-P: 1:100-500; IHC-Fr: 1:100-500; IF: 1:100-500 |
| Antibody Type | Polyclonal |
| Host Species | Rabbit |
| Subcellular Localization | Secreted. |
| Construction | Polyclonal Antibody |
| Purification | Protein A purified |
| Appearance | Liquid |
| Formulation | 0.01M TBS (pH7.4) with 1% BSA, 0.02% Proclin300 and 50% Glycerol. |
| Concentration | 1 mg/mL |
| Research Background | The protein encoded by this gene is similar to insulin in function and structure and is a member of a family of proteins involved in mediating growth and development. The encoded protein is processed from a precursor, bound by a specific receptor, and secreted. Defects in this gene are a cause of insulin-like growth factor I deficiency. Several transcript variants encoding different isoforms have been found for this gene.[provided by RefSeq, Mar 2009] |
| Immunogen | KLH conjugated synthetic peptide: human IGF-1 |
| Antigen Species | Human |
| Gene Name | IGF1 |
| Gene ID | |
| Protein Name | Insulin-like growth factor I |
| Uniprot ID | |
| Biology Area | Insulin and insulin-like,Aging,Growth hormones,Growth factors and hormones ELISA kits,Insulin / Insulin-like |
| Function | The insulin-like growth factors, isolated from plasma, are structurally and functionally related to insulin but have a much higher growth-promoting activity. May be a physiological regulator of [1-14C]-2-deoxy-D-glucose (2DG) transport and glycogen synthesis in osteoblasts. Stimulates glucose transport in rat bone-derived osteoblastic (PyMS) cells and is effective at much lower concentrations than insulin, not only regarding glycogen and DNA synthesis but also with regard to enhancing glucose uptake. |
| Molecular Weight | Theoretical: 7.7/21 kDa. Actual: 24 kDa. |
| Stability & Storage | Store at -20°C or -80°C for 12 months. Avoid repeated freeze-thaw cycles. |
| Transport | Shipping with blue ice. |
| Size | Quantity | Unit Price | Amount | Operation |
|---|

Copyright © 2015-2026 TargetMol Chemicals Inc. All Rights Reserved.