Shopping Cart
Remove All
Your shopping cart is currently empty
Synonyms: γTubulin, γ Tubulin, Xgam, tubulin, gamma polypeptide, tubulin, gamma 2, tubulin, gamma 1, Tubulin gamma-2 chain, Tubulin gamma complex-associated protein 1, Tubulin gamma 2 chain, Tubulin gamma 1 chain, TUBGCP1, TUBG2, TUBG1, TUBG, TBG2_HUMAN, MGC131994, GTubulin, GCP1, GCP 1, GammaTubulin, Gamma-2-tubulin, Gamma tubulin complex component 1, Gamma Tubulin 2, Gamma Tubulin 1, Gamma 2 tubulin, Gamma 1 tubulin, G Tubulin
| Pack Size | Price | USA Stock | Global Stock | Quantity |
|---|---|---|---|---|
| 50 μL | $298 | 7-10 days | 7-10 days | |
| 100 μL | $498 | 7-10 days | 7-10 days |
| Description | Anti-Gamma Tubulin Antibody (3T847) is a Rabbit antibody targeting Gamma Tubulin. Anti-Gamma Tubulin Antibody (3T847) can be used in FCM,ICC/IF,IHC,IP,WB. |
| Synonyms | γTubulin, γ Tubulin, Xgam, tubulin, gamma polypeptide, tubulin, gamma 2, tubulin, gamma 1, Tubulin gamma-2 chain, Tubulin gamma complex-associated protein 1, Tubulin gamma 2 chain, Tubulin gamma 1 chain, TUBGCP1, TUBG2, TUBG1, TUBG, TBG2_HUMAN, MGC131994, GTubulin, GCP1, GCP 1, GammaTubulin, Gamma-2-tubulin, Gamma tubulin complex component 1, Gamma Tubulin 2, Gamma Tubulin 1, Gamma 2 tubulin, Gamma 1 tubulin, G Tubulin |
| Ig Type | IgG |
| Clone | 3T847 |
| Reactivity | Human,Mouse,Rat,Monkey,Chicken,Hamouseter,Cow,Dog,Fish,Xenopus tropicalis |
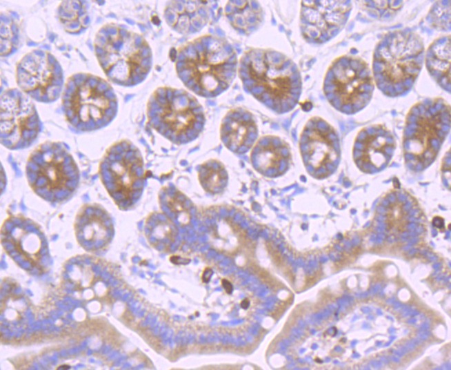
| Verified Activity | 1. Western blot analysis of gamma Tubulin on different lysates using anti-gamma Tubulin antibody at 1/1,000 dilution. Positive control: Lane 1: A431, Lane 2: Jurkat, Lane 3: Mouse brain. 2. Immunohistochemical analysis of paraffin-embedded mouse colon tissue using anti-gamma Tubulin antibody. Counter stained with hematoxylin. 3. Immunohistochemical analysis of paraffin-embedded mouse testis tissue using anti-gamma Tubulin antibody. Counter stained with hematoxylin. 4. ICC staining gamma Tubulin in Hela cells (red). The nuclear counter stain is DAPI (blue). Cells were fixed in paraformaldehyde, permeabilised with 0.25% Triton X100/PBS. 5. ICC staining gamma Tubulin in MCF-7 cells (red). The nuclear counter stain is DAPI (blue). Cells were fixed in paraformaldehyde, permeabilised with 0.25% Triton X100/PBS. 6. ICC staining gamma Tubulin in SHG-44 cells (red). The nuclear counter stain is DAPI (blue). Cells were fixed in paraformaldehyde, permeabilised with 0.25% Triton X100/PBS. 7. Flow cytometric analysis of Jurkat cells with gamma Tubulin antibody at 1/50 dilution (red) compared with an unlabelled control (cells without incubation with primary antibody; black). Alexa Fluor 488-conjugated goat anti rabbit IgG was used as the secondary antibody. |
| Application | |
| Recommended Dose | WB: 1:1000-2000; IHC: 1:50-200; ICC/IF: 1:50-200; FCM: 1:50-100 |
| Antibody Type | Monoclonal |
| Host Species | Rabbit |
| Construction | Recombinant Antibody |
| Purification | ProA affinity purified |
| Appearance | Liquid |
| Formulation | 1*TBS (pH7.4), 1%BSA, 40%Glycerol. Preservative: 0.05% Sodium Azide. |
| Research Background | Tubulin is a major cytoskeleton component that has five distinct forms, designated α, β, γ, δ and e Tubulin. α and β Tubulins form heterodimers which multimerize to form a microtubule filament. Multiple β Tubulin isoforms (β1, β2, β3, β4, β5, β6 and β8) have been characterized and are expressed in mammalian tissues. β1 and β4 are present throughout the cytosol, β2 is present in the nuclei and nucleoplasm, and β3 is a neuron-specific cytoskeletal protein. γ Tubulin forms the gammasome, which is required for nucleating microtubule filaments at the centrosome. Both δ Tubulin and e Tubulin are associated with the centrosome. δ Tubulin is a homolog of the Chlamydomonas δ Tubulin Uni3 and is found in association with the centrioles, whereas e Tubulin localizes to the pericentriolar material. e Tubulin exhibits a cell-cycle-specific pattern of localization, first associating with only the older of the centrosomes in a newly duplicated pair and later associating with both centrosomes. |
| Conjucates | Unconjugated |
| Immunogen | Recombinant Protein |
| Uniprot ID |
| Molecular Weight | Theoretical: 51 kDa. |
| Stability & Storage | Store at -20°C or -80°C for 12 months. Avoid repeated freeze-thaw cycles. |
| Transport | Shipping with blue ice. |
| Size | Quantity | Unit Price | Amount | Operation |
|---|

Copyright © 2015-2026 TargetMol Chemicals Inc. All Rights Reserved.