Shopping Cart
Remove All
Your shopping cart is currently empty
Anti-ETS1 Antibody (8Q20) is a Rabbit antibody targeting ETS1. Anti-ETS1 Antibody (8Q20) can be used in FCM,IHC,WB.
| Pack Size | Price | USA Warehouse | Global Warehouse | Quantity |
|---|---|---|---|---|
| 50 μL | $298 | 7-10 days | 7-10 days | |
| 100 μL | $496 | 7-10 days | 7-10 days |
| Description | Anti-ETS1 Antibody (8Q20) is a Rabbit antibody targeting ETS1. Anti-ETS1 Antibody (8Q20) can be used in FCM,IHC,WB. |
| Synonyms | V-ets Erythroblastosis Virus E26 Oncogene Homolog 1 (Avian), Protein C-ets-1, Isoform CRA_a, hCG_1732038, ETS1 Protein, ETS1 |
| Ig Type | IgG |
| Clone | 8Q20 |
| Reactivity | Human,Mouse |
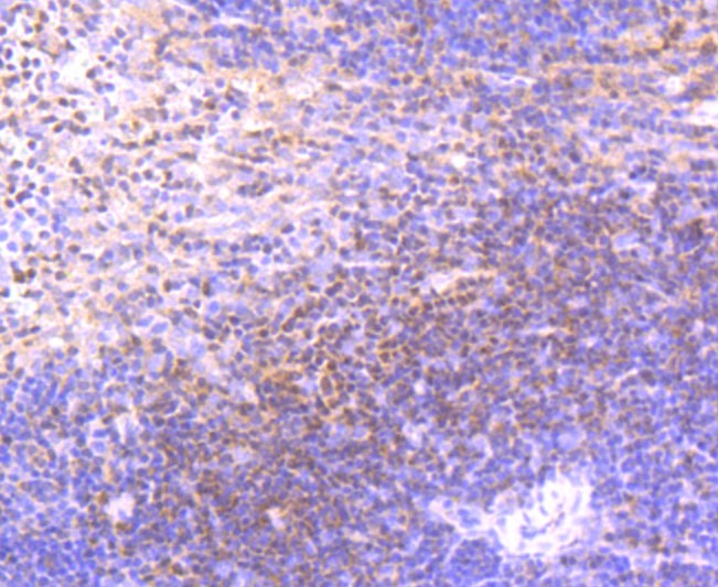
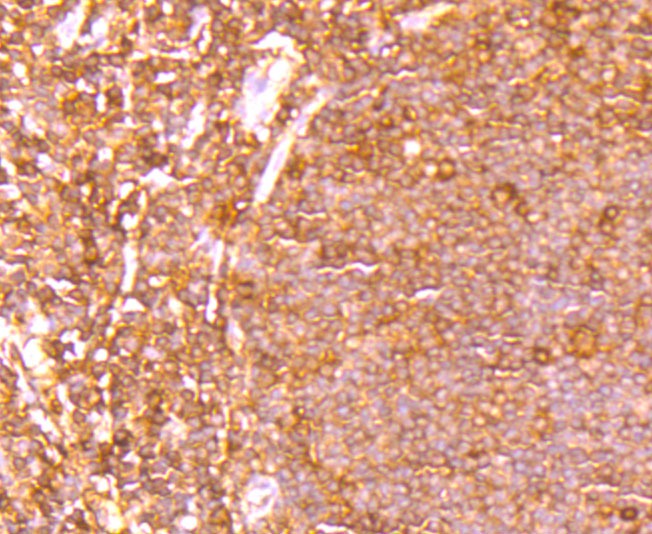
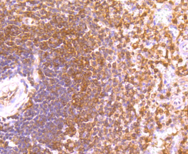
| Verified Activity | 1. Western blot analysis of ETS1 on different cell using anti-ETS1 antibody at 1/1,000 dilution. Positive control: Line1: Jurkat, Line2: K562, Line3: HepG2. 2. Immunohistochemical analysis of paraffin-embedded human tonsil tissue using anti-ETS1 antibody. Counter stained with hematoxylin. 3. Immunohistochemical analysis of paraffin-embedded human spleen tissue using anti-ETS1 antibody. Counter stained with hematoxylin. 4. Immunohistochemical analysis of paraffin-embedded mouse spleen tissue using anti-ETS1 antibody. Counter stained with hematoxylin. 5. Flow cytometric analysis of Jurkat cells with ETS1 antibody at 1/100 dilution (red) compared with an unlabelled control (cells without incubation with primary antibody; black). ![]() ![]() ![]() ![]() ![]() |
| Application | |
| Recommended Dose | WB: 1:500-2000; IHC: 1:50-200; FCM: 1:50-100 |
| Antibody Type | Monoclonal |
| Host Species | Rabbit |
| Construction | Recombinant Antibody |
| Purification | ProA affinity purified |
| Appearance | Liquid |
| Formulation | 1*TBS (pH7.4), 1%BSA, 40%Glycerol. Preservative: 0.05% Sodium Azide. |
| Research Background | Ets-1 is the prototype member of a family of genes identified on the basis of homology to the v-Ets oncogene isolated from the E26 erythroblastosis virus. This family of genes currently includes Ets-1, Ets-2, Erg-1-3, Elk-1, Elf-1, Elf-5, NERF, PU.1, PEA3, ERM, FEV, ER8l, Fli-1, TEL, Spi-B, ESE-1, ESE-3A, Net, ABT1 and ERF. Members of the Ets gene family exhibit varied patterns of tissue expression, and share a highly conserved carboxy terminal domain containing a sequence related to the SV40 large T antigen nuclear localization signal sequence. This conserved domain is essential for Ets-1 binding to DNA and is likely to be responsible for the DNA binding activity of all members of the Ets gene family. Several of these proteins have been shown to recognize similar motifs in DNA that share a centrally located 5'-GGAA-3' element. Evidence indicates that the DNA binding activity by Ets-1 is regulated at the level of phosphorylation. |
| Conjucates | Unconjugated |
| Immunogen | Recombinant Protein |
| Uniprot ID |
| Molecular Weight | Theoretical: 50 kDa. |
| Stability & Storage | Store at -20°C or -80°C for 12 months. Avoid repeated freeze-thaw cycles. |
| Transport | Shipping with blue ice. |
| Size | Quantity | Unit Price | Amount | Operation |
|---|

Copyright © 2015-2026 TargetMol Chemicals Inc. All Rights Reserved.