Shopping Cart
Remove All
Your shopping cart is currently empty
Anti-DLG4 Antibody (7K534) is a Rabbit antibody targeting DLG4. Anti-DLG4 Antibody (7K534) can be used in FCM,ICC/IF,IHC,IP,WB.
| Pack Size | Price | USA Warehouse | Global Warehouse | Quantity |
|---|---|---|---|---|
| 50 μL | $296 | 7-10 days | 7-10 days | |
| 100 μL | $496 | 7-10 days | 7-10 days |
| Description | Anti-DLG4 Antibody (7K534) is a Rabbit antibody targeting DLG4. Anti-DLG4 Antibody (7K534) can be used in FCM,ICC/IF,IHC,IP,WB. |
| Synonyms | Synapse-associated protein 90 (SAP-90, SAP90), PSD95, PSD 95, Postsynaptic density protein 95 (PSD-95), Disks large homolog 4 |
| Ig Type | IgG |
| Clone | 7K534 |
| Reactivity | Human,Mouse,Rat |
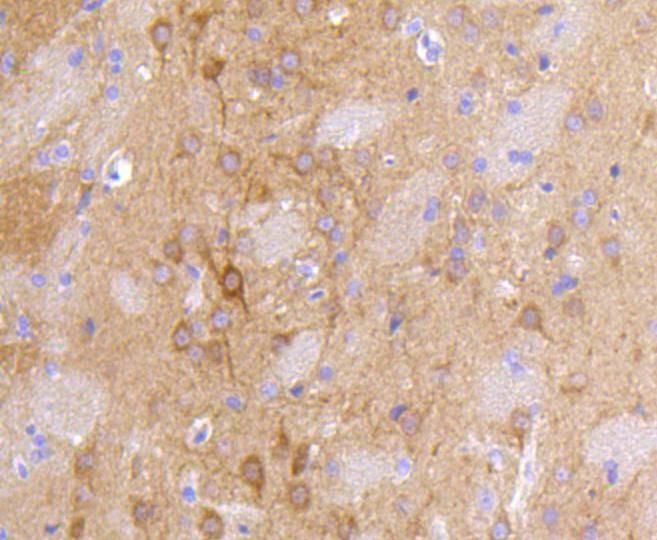
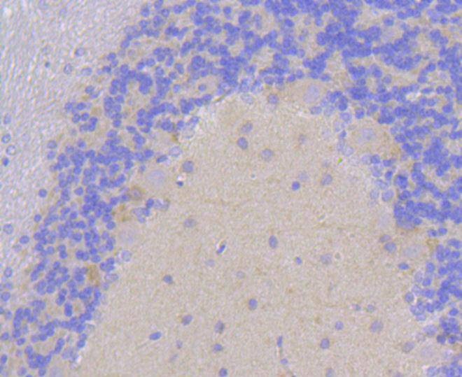
| Verified Activity | 1. Immunohistochemical analysis of paraffin-embedded rat brain tissue using anti-PSD95 antibody. Counter stained with hematoxylin. 2. Immunohistochemical analysis of paraffin-embedded rat cerebellum tissue using anti-PSD95 antibody. Counter stained with hematoxylin. 3. Immunohistochemical analysis of paraffin-embedded mouse cerebullum tissue using anti-PSD95 antibody. Counter stained with hematoxylin. 4. Flow cytometric analysis of SH-SY-5Y cells with PSD95 antibody at 1/50 dilution (blue) compared with an unlabelled control (cells without incubation with primary antibody; red). Alexa Fluor 488-conjugated goat anti rabbit IgG was used as the secondary antibody. 5. Western blot analysis of PSD95 expression in Mouse brain tissue lysate. 6. Immunofluorescent analysis of U87-MG cells, using PSD95 Antibody . ![]() ![]() ![]() ![]() ![]() ![]() |
| Application | |
| Recommended Dose | WB: 1:1000-2000 IHC: 1:100-200; ICC/IF: 1:50-200; IP: 1:20-50; FCM: 1:20-100 |
| Antibody Type | Monoclonal |
| Host Species | Rabbit |
| Construction | Recombinant Antibody |
| Purification | Affinity-chromatography |
| Appearance | Liquid |
| Formulation | Rabbit IgG in 10mM phosphate buffered saline , pH 7.4, 150mM sodium chloride, 0.05% BSA, 0.02% sodium azide and 50% glycerol. |
| Research Background | Interacts with the cytoplasmic tail of NMDA receptor subunits and shaker-type potassium channels. Required for synaptic plasticity associated with NMDA receptor signaling. Overexpression or depletion of DLG4 changes the ratio of excitatory to inhibitory synapses in hippocampal neurons. |
| Conjucates | Unconjugated |
| Immunogen | A synthesized peptide: human Disks large homolog 4 |
| Antigen Species | human |
| Uniprot ID |
| Molecular Weight | Theoretical: 100 kDa. |
| Stability & Storage | Store at 2°C-8°C for 1 month. Store at -20°C or -80°C for 12 months. Avoid repeated freeze-thaw cycles. |
| Transport | Shipping with blue ice. |
| Size | Quantity | Unit Price | Amount | Operation |
|---|

Copyright © 2015-2026 TargetMol Chemicals Inc. All Rights Reserved.