Shopping Cart
Remove All
Your shopping cart is currently empty
Anti-CXCR5 Antibody (3I647) is a Rabbit antibody targeting CXCR5. Anti-CXCR5 Antibody (3I647) can be used in FCM, WB.
| Pack Size | Price | USA Stock | Global Stock | Quantity |
|---|---|---|---|---|
| 25 μL | $155 | 7-10 days | 7-10 days | |
| 50 μL | $273 | 7-10 days | 7-10 days | |
| 100 μL | $487 | 7-10 days | 7-10 days |
| Description | Anti-CXCR5 Antibody (3I647) is a Rabbit antibody targeting CXCR5. Anti-CXCR5 Antibody (3I647) can be used in FCM, WB. |
| Synonyms | MDR15, CD185, BLR1 |
| Ig Type | IgG |
| Clone | 3I647 |
| Reactivity | Human,Mouse,Rat |
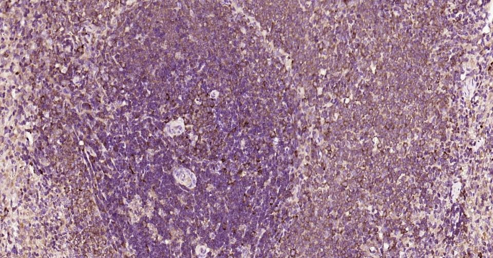
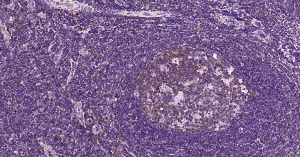
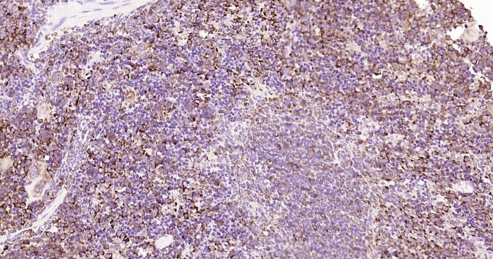
| Verified Activity | 1. 25 μg total protein per Lane of various lysates probed with CXCR5 monoclonal antibody, unconjugated (TMAB-00512) at 1:1000 dilution and 4°C overnight incubation. Followed by conjugated secondary antibody incubation at RT for 60 min. 2. Paraformaldehyde-fixed, paraffin embedded Rat Spleen; Antigen retrieval by boiling in sodium citrate buffer (pH6.0) for 15 min; Antibody incubation with CXCR5 Monoclonal Antibody, Unconjugated (TMAB-00512) at 1:200 overnight at 4°C, followed by conjugation to the secondary antibody and DAB staining. 3. Paraformaldehyde-fixed, paraffin embedded Mouse Spleen; Antigen retrieval by boiling in sodium citrate buffer (pH6.0) for 15 min; Antibody incubation with CXCR5 Monoclonal Antibody, Unconjugated (TMAB-00512) at 1:200 overnight at 4°C, followed by conjugation to the secondary antibody and DAB staining. 4. Paraformaldehyde-fixed, paraffin embedded Human Tonsil; Antigen retrieval by boiling in sodium citrate buffer (pH6.0) for 15 min; Antibody incubation with CXCR5 Monoclonal Antibody, Unconjugated (TMAB-00512) at 1:200 overnight at 4°C, followed by conjugation to the secondary antibody and DAB staining. 5. The Molt-4 (H) cells were incubated in 5% BSA to block non-specific protein-protein interactions (30 min at room temperature). Primary Antibody (green): Rabbit Anti-CXCR5 antibody (TMAB-00512): 1 μg/10^6 cells; Secondary Antibody (white blue): Goat anti-Rabbit IgG-FITC: 1 μg/test. Isotype Control (orange): Rabbit IgG. Blank control (black): PBS. ![]() ![]() ![]() ![]() ![]() |
| Application | |
| Recommended Dose | FCM=1 μg/Test; WB=1:1000-5000 |
| Antibody Type | Monoclonal |
| Host Species | Rabbit |
| Subcellular Localization | Cell membrane; Multi-pass membrane protein. |
| Tissue Specificity | Expression in mature B-cells and Burkitt lymphoma cells. |
| Construction | Recombinant Antibody |
| Purification | Protein A purified |
| Appearance | Liquid |
| Formulation | 0.01M TBS (pH7.4) with 1% BSA, 0.02% Proclin300 and 50% Glycerol. |
| Concentration | 1 mg/mL |
| Research Background | This gene encodes a multi-pass membrane protein that belongs to the CXC chemokine receptor family. It is expressed in mature B-cells and Burkitt's lymphoma. This cytokine receptor binds to B-lymphocyte chemoattractant (BLC), and is involved in B-cell migration into B-cell follicles of spleen and Peyer patches. Alternatively spliced transcript variants encoding different isoforms have been described for this gene. [provided by RefSeq, Aug 2011] |
| Immunogen | A synthesized peptide: human CXCR5 |
| Antigen Species | Human |
| Gene Name | CXCR5 |
| Gene ID | |
| Protein Name | C-X-C chemokine receptor type 5 |
| Uniprot ID | |
| Biology Area | GPCR,Blood,CD,Alpha Chemokine Rec. (CXCR),SARS Coronavirus,GPCR |
| Function | Cytokine receptor that binds to B-lymphocyte chemoattractant (BLC). Involved in B-cell migration into B-cell follicles of spleen and Peyer patches but not into those of mesenteric or peripheral lymph nodes. May have a regulatory function in Burkitt lymphoma (BL) lymphomagenesis and/or B-cell differentiation. |
| Molecular Weight | Theoretical: 45 kDa. Actual: 45 kDa. |
| Stability & Storage | Store at -20°C or -80°C for 12 months. Avoid repeated freeze-thaw cycles. |
| Transport | Shipping with blue ice. |
| Size | Quantity | Unit Price | Amount | Operation |
|---|

Copyright © 2015-2026 TargetMol Chemicals Inc. All Rights Reserved.