Shopping Cart
Remove All
Your shopping cart is currently empty
Anti-CRLF1 Polyclonal Antibody is a Rabbit antibody targeting CRLF1. Anti-CRLF1 Polyclonal Antibody can be used in IF,IHC-Fr,IHC-P.
| Pack Size | Price | USA Warehouse | Global Warehouse | Quantity |
|---|---|---|---|---|
| 50 μL | $220 | 7-10 days | 7-10 days | |
| 100 μL | $372 | 7-10 days | 7-10 days | |
| 200 μL | $527 | 7-10 days | 7-10 days |
| Description | Anti-CRLF1 Polyclonal Antibody is a Rabbit antibody targeting CRLF1. Anti-CRLF1 Polyclonal Antibody can be used in IF,IHC-Fr,IHC-P. |
| Synonyms | ZcytoR5, Cytokine-like factor 1 (CLF-1), Cytokine receptor-like factor 1, CRLF1 |
| Ig Type | IgG |
| Reactivity | Rat (predicted:Human,Mouse,Chicken,Dog,Pig,Cow,Sheep) |
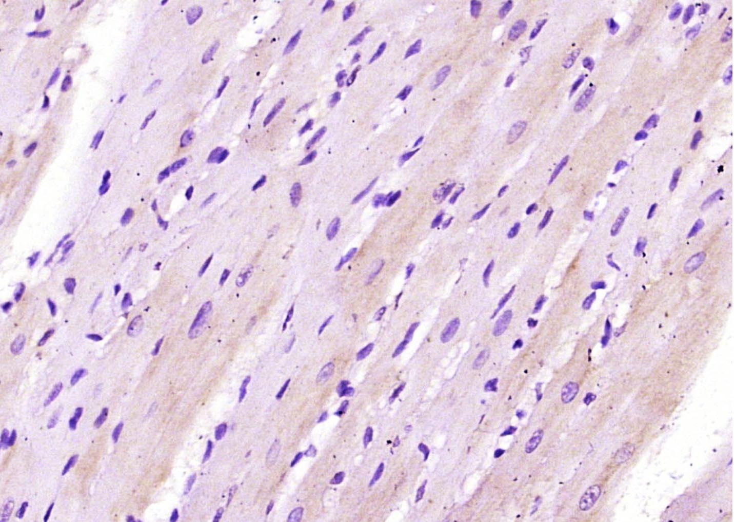
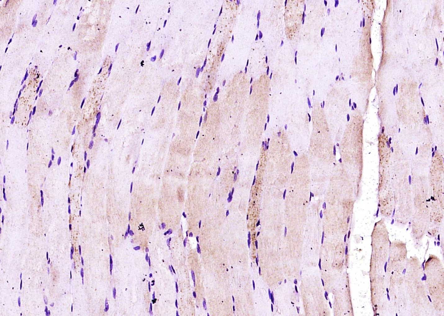
| Verified Activity | 1. Paraformaldehyde-fixed, paraffin embedded (rat skeletal muscle); Antigen retrieval by boiling in sodium citrate buffer (pH6.0) for 15 min; Block endogenous peroxidase by 3% hydrogen peroxide for 20 min; Blocking buffer (normal goat serum) at 37°C for 30 min; Antibody incubation with (CRLF1) Polyclonal Antibody, Unconjugated (TMAB-00483) at 1:400 overnight at 4°C, followed by operating according to SP Kit (Rabbit) instructionsand DAB staining. 2. Paraformaldehyde-fixed, paraffin embedded (rat heart tissue); Antigen retrieval by boiling in sodium citrate buffer (pH6.0) for 15 min; Block endogenous peroxidase by 3% hydrogen peroxide for 20 min; Blocking buffer (normal goat serum) at 37°C for 30 min; Antibody incubation with (CRLF1) Polyclonal Antibody, Unconjugated (TMAB-00483) at 1:400 overnight at 4°C, followed by operating according to SP Kit (Rabbit) instructionsand DAB staining. ![]() ![]() |
| Application | |
| Recommended Dose | IHC-P: 1:100-500; IHC-Fr: 1:100-500; IF: 1:100-500 |
| Antibody Type | Polyclonal |
| Host Species | Rabbit |
| Subcellular Localization | Secreted. |
| Tissue Specificity | Highest levels of expression observed in spleen, thymus, lymph node, appendix, bone marrow, stomach, placenta, heart, thyroid and ovary. Strongly expressed also in fetal lung. |
| Construction | Polyclonal Antibody |
| Purification | Protein A purified |
| Appearance | Liquid |
| Formulation | 0.01M TBS (pH7.4) with 1% BSA, 0.02% Proclin300 and 50% Glycerol. |
| Concentration | 1 mg/mL |
| Research Background | CRLF1 is a 422 amino acid secreted protein that interacts with cells expressing ciliary neurotrophic factor receptors. A cytokine receptor subunit belonging to the type I cytokine receptor family and type 3 subfamily, CRLF1 is thought to play a role in fetal nervous system development and immunity. CRLF1 is highly expressed in stomach, placenta, heart, ovary, thyroid, bone marrow, appendix, lymph node, spleen, thymus and fetal lung, and promotes neuronal cell survival. CRLF3 is a 442 amino acid protein that contains one fibronectin type-III domain. CRLF3 is expressed in lesion actinic keratosis (AK) and skin and squamous cell carcinoma (SCC), and is thought to negatively regulate the G0/G1 phase of the cell cycle. |
| Immunogen | KLH conjugated synthetic peptide: human CRLF1 |
| Antigen Species | Human |
| Gene Name | CRLF1 |
| Gene ID | |
| Protein Name | Cytokine receptor-like factor 1 |
| Uniprot ID | |
| Biology Area | Cytokines |
| Function | CRLF1 (Cytokine receptor-like factor 1) is a cytokine receptor subunit. It forms a heteromeric complex with cardiotrophin-like cytokine (CLC) and the CRLF1/CLC complex is a ligand for the ciliary neurotrophic factor receptor (CNTFR). Mutations in CRLF1 are responsible for both Crisponi and cold-induced sweating syndromes. |
| Molecular Weight | Theoretical: 43 kDa. |
| Stability & Storage | Store at -20°C or -80°C for 12 months. Avoid repeated freeze-thaw cycles. |
| Transport | Shipping with blue ice. |
| Size | Quantity | Unit Price | Amount | Operation |
|---|

Copyright © 2015-2026 TargetMol Chemicals Inc. All Rights Reserved.