Shopping Cart
Remove All
Your shopping cart is currently empty
Anti-CNPase Antibody (5Q967) is a Rabbit antibody targeting CNPase. Anti-CNPase Antibody (5Q967) can be used in FCM,ICC,IHC,WB.
| Pack Size | Price | USA Warehouse | Global Warehouse | Quantity |
|---|---|---|---|---|
| 50 μL | $298 | 7-10 days | 7-10 days | |
| 100 μL | $498 | 7-10 days | 7-10 days |
| Description | Anti-CNPase Antibody (5Q967) is a Rabbit antibody targeting CNPase. Anti-CNPase Antibody (5Q967) can be used in FCM,ICC,IHC,WB. |
| Synonyms | CNPase, CNP1, CNP 1, CNP, CN37_HUMAN, 3''-cyclic-nucleotide 3''-phosphodiesterase, 2'3' cyclic nucleotide 3' phosphodiesterase, 2'' |
| Ig Type | IgG |
| Clone | 5Q967 |
| Reactivity | Human,Mouse,Rat |
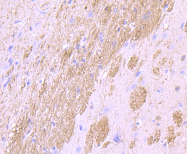
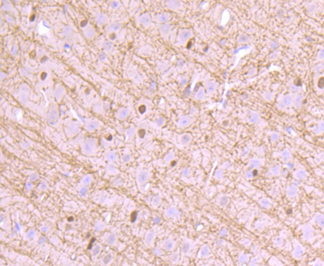
| Verified Activity | 1. Western blot analysis of CNPase on mouse brain lysates using anti-CNPase antibody at 1/1,000 dilution. 2. Immunohistochemical analysis of paraffin-embedded mouse brain tissue using anti-CNPase antibody. Counter stained with hematoxylin. 3. Immunohistochemical analysis of paraffin-embedded rat brain tissue using anti-CNPase antibody. Counter stained with hematoxylin. 4. ICC staining CNPase in SHG-44 cells (green). The nuclear counter stain is DAPI (blue). Cells were fixed in paraformaldehyde, permeabilised with 0.25% Triton X100/PBS. 5. ICC staining CNPase in SH-SY-5Y cells (green). The nuclear counter stain is DAPI (blue). Cells were fixed in paraformaldehyde, permeabilised with 0.25% Triton X100/PBS. 6. ICC staining CNPase in N2A cells (green). Cells were fixed in paraformaldehyde, permeabilised with 0.25% Triton X100/PBS. 7. Flow cytometric analysis of SH-SY-5Y cells with CNPase antibody at 1/50 dilution (blue) compared with an unlabelled control (cells without incubation with primary antibody; red). Alexa Fluor 488-conjugated goat anti-rabbit IgG was used as the secondary antibody. ![]() ![]() ![]() ![]() ![]() ![]() ![]() |
| Application | |
| Recommended Dose | WB: 1:1000-2000; IHC: 1:50-200; ICC: 1:50-200; FCM: 1:50-100 |
| Antibody Type | Monoclonal |
| Host Species | Rabbit |
| Construction | Recombinant Antibody |
| Purification | ProA affinity purified |
| Appearance | Liquid |
| Formulation | 1*TBS (pH7.4), 1%BSA, 40%Glycerol. Preservative: 0.05% Sodium Azide. |
| Research Background | 2',3'-cyclic nucleotide-3'-phosphodiesterase (CNPase) is a membrane-bound enzyme that can link tubulin to membranes and may regulate cytoplasmic microtubule distribution. CNPase acts as a microtubule-associated protein by promoting microtubule assembly; this activity resides in the C-terminus of the enzyme. CNPase is firmly associated with tubulin from brain tissue and thyroid cells and can be found at high concentrations in central nervous system myelin and in the outer segments of photoreceptors in the retina. Acute lead intoxication leads to disturbances in CNPase activity and the morphology of myelin. |
| Conjucates | Unconjugated |
| Immunogen | Recombinant Protein |
| Uniprot ID |
| Molecular Weight | Theoretical: 48 kDa. |
| Stability & Storage | Store at -20°C or -80°C for 12 months. Avoid repeated freeze-thaw cycles. |
| Transport | Shipping with blue ice. |
| Size | Quantity | Unit Price | Amount | Operation |
|---|

Copyright © 2015-2026 TargetMol Chemicals Inc. All Rights Reserved.