Shopping Cart
Remove All
Your shopping cart is currently empty
Anti-CCR2 Antibody (1X499) is a Rabbit antibody targeting CCR2. Anti-CCR2 Antibody (1X499) can be used in FCM,IHC,IP,WB.
| Pack Size | Price | USA Warehouse | Global Warehouse | Quantity |
|---|---|---|---|---|
| 50 μL | $298 | 7-10 days | 7-10 days | |
| 100 μL | $498 | 7-10 days | 7-10 days |
| Description | Anti-CCR2 Antibody (1X499) is a Rabbit antibody targeting CCR2. Anti-CCR2 Antibody (1X499) can be used in FCM,IHC,IP,WB. |
| Synonyms | MCP-1-R, CMKBR2, CCR-2, CCR2, C-C CKR-2 |
| Ig Type | IgG |
| Clone | 1X499 |
| Reactivity | Human,Mouse |
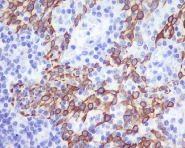
| Verified Activity | 1. Flow cytometric analysis of K562 cells with CCR2 antibody at 1/50 dilution (red) compared with an unlabelled control (cells without incubation with primary antibody; black). Alexa Fluor 488-conjugated goat anti rabbit IgG was used as the secondary antibody. 2. All lanes use the Antibody at 1:1K dilution for 1 hour at room temperature. 3. Immunohistochemical analysis of paraffin-embedded human tonsil, using CCR2/CKR2 Antibody. 4. Immunofluorescent analysis using the Antibody at 1:50 dilution. 5. Immunofluorescent analysis using the Antibody at 1:50 dilution. ![]() ![]() ![]() ![]() ![]() |
| Application | |
| Recommended Dose | WB: 1:1000-5000; IHC: 1:50-200; IP: 1:50; FCM: 1:100 |
| Antibody Type | Monoclonal |
| Host Species | Rabbit |
| Construction | Recombinant Antibody |
| Purification | Affinity-chromatography |
| Appearance | Liquid |
| Formulation | Rabbit IgG in phosphate buffered saline , pH 7.4, 150mM NaCl, 0.02% sodium azide and 50% glycerol. |
| Research Background | Receptor for the MCP-1, MCP-3 and MCP-4 chemokines. Transduces a signal by increasing the intracellular calcium ions level. Alternative coreceptor with CD4 for HIV-1 infection. |
| Conjucates | Unconjugated |
| Immunogen | A synthesized peptide: human CCR2/CKR2 |
| Antigen Species | human |
| Uniprot ID |
| Molecular Weight | Theoretical: 42 kDa. |
| Color | Transparent |
| Appearance | Liquid |
| Stability & Storage | Store at 2°C-8°C for 1 month. Store at -20°C or -80°C for 12 months. Avoid repeated freeze-thaw cycles. |
| Transport | Shipping with blue ice. |
| Size | Quantity | Unit Price | Amount | Operation |
|---|

Copyright © 2015-2026 TargetMol Chemicals Inc. All Rights Reserved.