Shopping Cart
Remove All
Your shopping cart is currently empty
Anti-BAX Antibody (1J827) is a Rabbit antibody targeting BAX. Anti-BAX Antibody (1J827) can be used in FCM,IHC,IP,WB.
| Pack Size | Price | USA Warehouse | Global Warehouse | Quantity |
|---|---|---|---|---|
| 50 μL | $296 | 7-10 days | 7-10 days | |
| 100 μL | $496 | 7-10 days | 7-10 days |
| Description | Anti-BAX Antibody (1J827) is a Rabbit antibody targeting BAX. Anti-BAX Antibody (1J827) can be used in FCM,IHC,IP,WB. |
| Synonyms | Bcl-2-like protein 4, Bcl2-L-4, BCL2L4, Apoptosis regulator BAX |
| Ig Type | IgG |
| Clone | 1J827 |
| Reactivity | Human,Mouse,Rat |
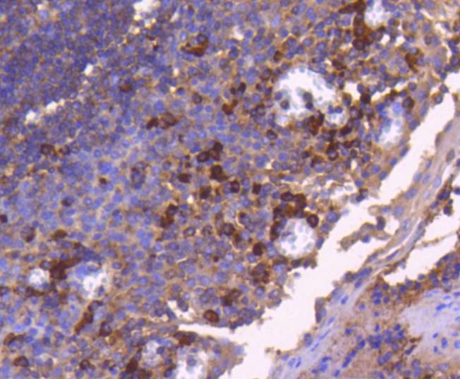
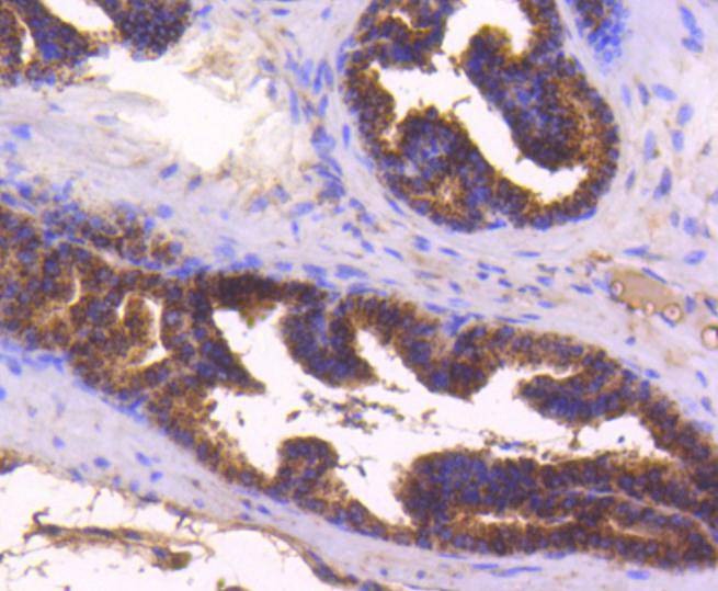
| Verified Activity | 1. Western blot analysis of Bax on different lysates using anti-Bax antibody at 1/1,000 dilution. Positive control: Lane 1: Hela, Lane 2: MCF-7, Lane 3: Human liver. 2. Immunohistochemical analysis of paraffin-embedded human tonsil tissue using anti-Bax antibody. Counter stained with hematoxylin. 3. Immunohistochemical analysis of paraffin-embedded human liver cancer tissue using anti-Bax antibody. Counter stained with hematoxylin. 4. Immunohistochemical analysis of paraffin-embedded human breast carcinoma tissue using anti-Bax antibody. Counter stained with hematoxylin. 5. Immunohistochemical analysis of paraffin-embedded mouse prostate tissue using anti-Bax antibody. Counter stained with hematoxylin. 6. Immunohistochemical analysis of paraffin-embedded mouse kidney tissue using anti-Bax antibody. Counter stained with hematoxylin. 7. Immunohistochemical analysis of paraffin-embedded mouse skin tissue using anti-Bax antibody. Counter stained with hematoxylin. 8. Flow cytometric analysis of Hela cells with Bax antibody at 1/50 dilution (red) compared with an unlabelled control (cells without incubation with primary antibody; black). Alexa Fluor 488-conjugated goat anti rabbit IgG was used as the secondary antibody. ![]() ![]() ![]() ![]() ![]() ![]() ![]() ![]() |
| Application | |
| Recommended Dose | WB: 1:1000-5000; IHC: 1:50-200; FCM: 1:50-100 |
| Antibody Type | Monoclonal |
| Host Species | Rabbit |
| Construction | Recombinant Antibody |
| Purification | ProA affinity purified |
| Appearance | Liquid |
| Formulation | 1*TBS (pH7.4), 1%BSA, 40%Glycerol. Preservative: 0.05% Sodium Azide. |
| Research Background | The Bcl-2 gene was isolated at the chromosomal breakpoint of t-bearing follicular B cell lymphomas. Bcl-2 blocks cell death following a variety of stimuli and confers a death-sparing effect to certain hematopoietic cell lines following growth factor withdrawal. Bcl-2 is localized to outer mitochondrial membranes and endoplasmic reticulum as well as nuclear membranes. A related protein, designated Bax (Bcl-associated X protein), has extensive amino acid homology with Bcl-2 and both homodimerizes and forms heterodimers with Bcl-2. Overexpression of Bax accelerates apoptotic death induced by cytokine deprivation in an IL-3 dependent cell line and Bax also counters the death repressor activity of Bcl-2. |
| Conjucates | Unconjugated |
| Immunogen | Recombinant Protein |
| Uniprot ID |
| Molecular Weight | Theoretical: 21 kDa. |
| Stability & Storage | Store at -20°C or -80°C for 12 months. Avoid repeated freeze-thaw cycles. |
| Transport | Shipping with blue ice. |
| Size | Quantity | Unit Price | Amount | Operation |
|---|

Copyright © 2015-2026 TargetMol Chemicals Inc. All Rights Reserved.