Shopping Cart
Remove All
Your shopping cart is currently empty
Anti-BANF1 Antibody (6R771) is a Rabbit antibody targeting BANF1. Anti-BANF1 Antibody (6R771) can be used in FCM,ICC,IHC,WB.
| Pack Size | Price | USA Warehouse | Global Warehouse | Quantity |
|---|---|---|---|---|
| 50 μL | $297 | 7-10 days | 7-10 days | |
| 100 μL | $498 | 7-10 days | 7-10 days |
| Description | Anti-BANF1 Antibody (6R771) is a Rabbit antibody targeting BANF1. Anti-BANF1 Antibody (6R771) can be used in FCM,ICC,IHC,WB. |
| Synonyms | NGPS, MGC111161, D14S1460, Breakpoint cluster region protein 1, BCRP1, BCRP 1, BCRG1, BCRG 1, Barrier-to-autointegration factor, Barrier to autointegration factor 1, Barrier to autointegration factor, BANF 1, BAF_HUMAN, BAF |
| Ig Type | IgG |
| Clone | 6R771 |
| Reactivity | Human,Mouse,Rat |
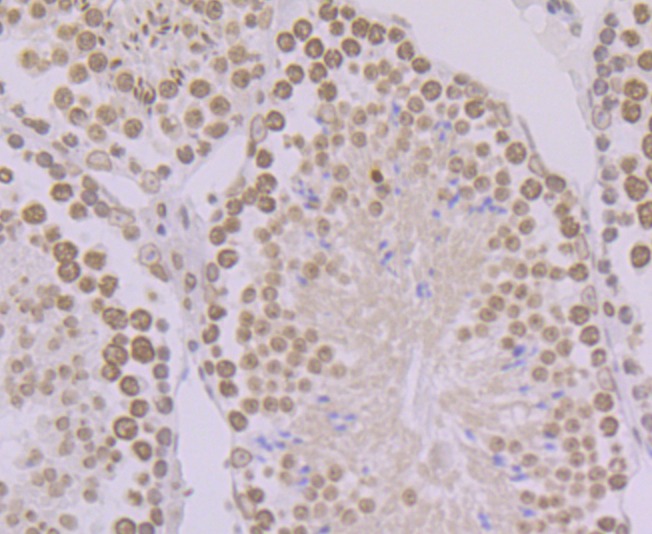
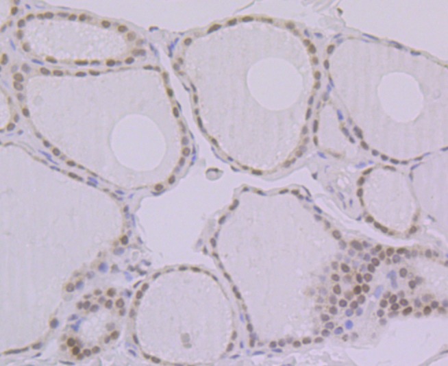
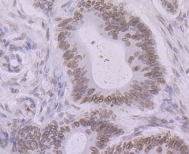
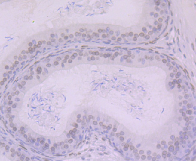
| Verified Activity | 1. Immunohistochemical analysis of paraffin-embedded human thyroid gland tissue using anti-BANF1 antibody. Counter stained with hematoxylin. 2. Immunohistochemical analysis of paraffin-embedded human colon cancer tissue using anti-BANF1 antibody. Counter stained with hematoxylin. 3. Immunohistochemical analysis of paraffin-embedded human heart tissue using anti-BANF1 antibody. Counter stained with hematoxylin. 4. Immunohistochemical analysis of paraffin-embedded rat epididymis tissue using anti-BANF1 antibody. Counter stained with hematoxylin. 5. Immunohistochemical analysis of paraffin-embedded mouse testis tissue using anti-BANF1 antibody. Counter stained with hematoxylin. 6. ICC staining BANF1 in A549 cells (green). The nuclear counter stain is DAPI (blue). Cells were fixed in paraformaldehyde, permeabilised with 0.25% Triton X100/PBS. 7. Flow cytometric analysis of MCF-7 cells with BANF1 antibody at 1/100 dilution (purple) compared with an unlabelled control (cells without incubation with primary antibody; yellow). Alexa Fluor 488-conjugated goat anti-rabbit IgG was used as the secondary antibody. ![]() ![]() ![]() ![]() ![]() ![]() ![]() |
| Application | |
| Recommended Dose | IHC: 1:50-200; ICC: 1:50-100; FCM: 1:50-100 |
| Antibody Type | Monoclonal |
| Host Species | Rabbit |
| Construction | Recombinant Antibody |
| Purification | ProA affinity purified |
| Appearance | Liquid |
| Formulation | 1*TBS (pH7.4), 1%BSA, 40%Glycerol. Preservative: 0.05% Sodium Azide. |
| Research Background | Barrier-to-autointegration factor (BAF) binds non-specifically to double stranded DNA, possibly to play a role in tissue- or cell type-specific gene expression by interacting with different homeodomain transcription factors. BAF compresses chromatin structure and interacts with the LEM domain of nuclear proteins to play a crucial role in membrane recruitment and chromatin decondensation during nuclear assembly. Additionally, retroviruses like HIV-1 incorporate BAF from host cells into preintegration complexes (PICs) to prevent autointegration of retroviral DNA and thereby promote integration of retroviral DNA into the host chromosome. |
| Conjucates | Unconjugated |
| Immunogen | Recombinant Protein: Full length of human BANF1 |
| Antigen Species | human |
| Uniprot ID |
| Molecular Weight | Theoretical: 10 kDa. |
| Stability & Storage | Store at -20°C or -80°C for 12 months. Avoid repeated freeze-thaw cycles. |
| Transport | Shipping with blue ice. |
| Size | Quantity | Unit Price | Amount | Operation |
|---|

Copyright © 2015-2026 TargetMol Chemicals Inc. All Rights Reserved.