Shopping Cart
Remove All
Your shopping cart is currently empty
Anti-ALDH1A1 Antibody (5U452) is a Rabbit antibody targeting ALDH1A1. Anti-ALDH1A1 Antibody (5U452) can be used in IHC,IP,WB.
| Pack Size | Price | USA Warehouse | Global Warehouse | Quantity |
|---|---|---|---|---|
| 50 μL | $298 | 7-10 days | 7-10 days | |
| 100 μL | $496 | 7-10 days | 7-10 days |
| Description | Anti-ALDH1A1 Antibody (5U452) is a Rabbit antibody targeting ALDH1A1. Anti-ALDH1A1 Antibody (5U452) can be used in IHC,IP,WB. |
| Synonyms | RALDH1, PUMB1, HEL-S-53e, HEL-9, HEL12, ALDH-E1, ALDH11, ALDH1, aldehyde dehydrogenase 1 family, member A1, ALDC |
| Ig Type | IgG |
| Clone | 5U452 |
| Reactivity | Human,Mouse,Rat |
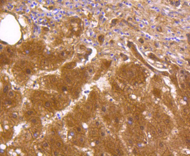
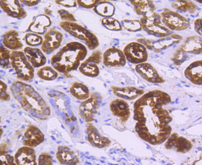
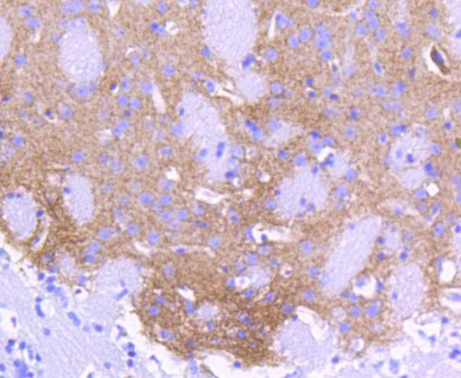
| Verified Activity | 1. Western blot analysis of ALDH1A1 on mouse lung lysates using anti-ALDH1A1 antibody at 1/1,000 dilution. 2. Immunohistochemical analysis of paraffin-embedded human liver tissue using anti-ALDH1A1 antibody. Counter stained with hematoxylin. 3. Immunohistochemical analysis of paraffin-embedded human kidney tissue using anti-ALDH1A1 antibody. Counter stained with hematoxylin. 4. Immunohistochemical analysis of paraffin-embedded mouse brain tissue using anti-ALDH1A1 antibody. Counter stained with hematoxylin. ![]() ![]() ![]() ![]() |
| Application | |
| Recommended Dose | WB: 1:1000-2000; IHC: 1:50-200 |
| Antibody Type | Monoclonal |
| Host Species | Rabbit |
| Construction | Recombinant Antibody |
| Purification | ProA affinity purified |
| Appearance | Liquid |
| Formulation | 1*TBS (pH7.4), 1%BSA, 40%Glycerol. Preservative: 0.05% Sodium Azide. |
| Research Background | Aldehyde dehydrogenases (ALDHs) mediate NADP+-dependent oxidation of aldehydes into acids during the detoxification of alcohol-derived acetaldehyde; metabolism of corticosteroids, biogenic amines and neurotransmitters; and lipid peroxidation. ALDH1A1, also designated retinal dehydrogenase 1 (RalDH1 or RALDH1), aldehyde dehydrogenase family 1 member A1, aldehyde dehydrogenase cytosolic, ALDHII, ALDH-E1 or ALDH E1, is a retinal dehydrogenase that participates in the biosynthesis of retinoic acid (RA). There are two major liver isoforms of ALDH1 that can localize to cytosolic or mitochondrial space. The ALDH1A2 (RALDH2, RALDH2-T) gene produces three different transcripts and also catalyzes the synthesis of RA from retinaldehyde. ALDH1A3 (ALDH6, RALDH3, ALDH1A6) is a 37 kb gene that consists of 13 exons and produces a major transcript of approximately 3.5 kb most abundant in salivary gland, stomach and kidney. ALDH3A1 (stomach type, ALDH3, ALDHIII) forms a cytoplasmic homodimer that preferentially oxidizes aromatic aldehyde substrates. ALDH genes upregulate as a part of the oxidative stress response, and appear to be abundant in certain tumors that have an accelerated metabolism toward chemotherapy agents. |
| Conjucates | Unconjugated |
| Immunogen | Recombinant Protein |
| Uniprot ID |
| Molecular Weight | Theoretical: 55 kDa. |
| Stability & Storage | Store at -20°C or -80°C for 12 months. Avoid repeated freeze-thaw cycles. |
| Transport | Shipping with blue ice. |
| Size | Quantity | Unit Price | Amount | Operation |
|---|

Copyright © 2015-2026 TargetMol Chemicals Inc. All Rights Reserved.