Shopping Cart
Remove All
Your shopping cart is currently empty
AffiniPure Goat Anti-Rabbit IgG H&L Secondary Antibody-HRP is a HRP-conjugated Goat antibody targeting IgG H&L. AffiniPure Goat Anti-Rabbit IgG H&L Secondary Antibody-HRP can be used in ELISA,IHC-F,IHC-P,WB.
| Pack Size | Price | USA Warehouse | Global Warehouse | Quantity |
|---|---|---|---|---|
| 100 μL | $56 | 7-10 days | 7-10 days | |
| 1 mL | $375 | 7-10 days | 7-10 days |
| Description | AffiniPure Goat Anti-Rabbit IgG H&L Secondary Antibody-HRP is a HRP-conjugated Goat antibody targeting IgG H&L. AffiniPure Goat Anti-Rabbit IgG H&L Secondary Antibody-HRP can be used in ELISA,IHC-F,IHC-P,WB. |
| Synonyms | Peroxidase AffiniPure Goat Anti-Rabbit IgG (H+L), HRP AffiniPure Goat Anti-Rabbit IgG (H+L), AffiniPure Goat Anti-Rabbit IgG H&L/HRP, AffiniPure Goat Anti-Rabbit IgG H&L(HRP), AffiniPure Goat Anti-Rabbit IgG (H+L) (min X Hu, Ms, Rat Sr Prot)/HRP |
| Ig Type | IgG |
| Reactivity | Rabbit |
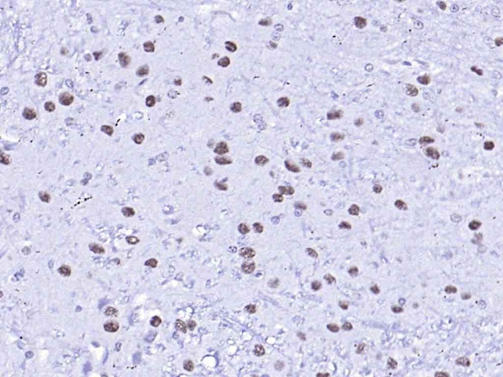
| Verified Activity | 1. Paraformaldehyde-fixed, paraffin embedded (mouse brain); Antigen retrieval by boiling in sodium citrate buffer (pH6.0) for 15 min; Block endogenous peroxidase by 3% hydrogen peroxide for 20 minutes; Blocking buffer (normal goat serum) at 37°C for 30 min; Antibody incubation with (B MyB) Polyclonal Antibody, Unconjugated at 1:200 overnight at 4°C, Secondary antibody was Goat Anti-Rabbit IgG H&L (HRP) (TMAB-02060H ) at 1/200 dilution and DAB staining.
2. Paraformaldehyde-fixed, paraffin embedded (rat cerebellum); Antigen retrieval by boiling in sodium citrate buffer (pH6.0) for 15 min; Block endogenous peroxidase by 3% hydrogen peroxide for 20 minutes; Blocking buffer (normal goat serum) at 37°C for 30 min; Antibody incubation with (B MyB) Polyclonal Antibody, Unconjugated at 1:200 overnight at 4°C, Secondary antibody was Goat Anti-Rabbit IgG H&L (HRP) (TMAB-02060H ) at 1/200 dilution and DAB staining. 3. Paraformaldehyde-fixed, paraffin embedded (rat brain); Antigen retrieval by boiling in sodium citrate buffer (pH6.0) for 15 min; Block endogenous peroxidase by 3% hydrogen peroxide for 20 minutes; Blocking buffer (normal goat serum) at 37°C for 30 min; Antibody incubation with (B MyB) Polyclonal Antibody, Unconjugated at 1:200 overnight at 4°C, Secondary antibody was Goat Anti-Rabbit IgG H&L (HRP) (TMAB-02060H ) at 1/200 dilution and DAB staining. 4. 25 ug total protein per lane of various lysates (see on figure) probed with beta-Actin polyclonal antibody, unconjugated at 1:10000 dilution and 4°C overnight incubation.Followed by conjugated secondary antibody (TMAB-02060H) at 1:20000 dilution and r.t. for 60 min incubation. ![]() ![]() ![]() ![]() |
| Application | |
| Recommended Dose | WB: 1:5000-20000; IHC-P: 1:3000-5000; IHC-F: 1:3000-5000; ELISA: 1:5000-20000 |
| Antibody Type | Polyclonal |
| Host Species | Goat |
| Construction | Polyclonal Antibody |
| Purification | Protein G purified |
| Appearance | Liquid |
| Formulation | 10 mM TBS (pH=7.4) with 1% BSA, 0.02% Proclin300 and 50% glycerol. |
| Concentration | 1.0 mg/ml |
| Research Background | HRP Conjugated Goat (polyclonal) Anti-Rabbit IgG(H+L), Highly Cross Adsorbed HRP antibodies can be used for a variety of applications, including ELISA, Western blotting, In-Cell Western assays, In-Gel Westerns, and many others. Isolation of specific antibodise was accomplished by immunoaffinity chromatography using antigens immobilized on agarose beads. Based on immunoelectrophoresis, this antibody reacts with the heavy chains of rabbit IgG as well as the light chains common to most rabbit immunoglobulins. No reactivity was detected against non-immunoglobulin serum proteins. This antibody was tested by ELISA and/or solid phase adsorbed for minimal cross-reactivity with human, mouse, and rat serum proteins, but may cross-react with immunoglobulins from other species. The conjugate has been specifically tested and qualified for Western blot and ELISA applications. |
| Immunogen | Native Rabbit IgG |
| Color | Transparent |
| Appearance | Liquid |
| Stability & Storage | Store at -20°C or -80°C for 12 months. Avoid repeated freeze-thaw cycles. |
| Transport | Shipping with blue ice. |
| Size | Quantity | Unit Price | Amount | Operation |
|---|

Copyright © 2015-2026 TargetMol Chemicals Inc. All Rights Reserved.